![]() |
![]() |
![]() |
![]() ![]() |
![]() ![]() |
![]() |
窦膜破了:植入短植体
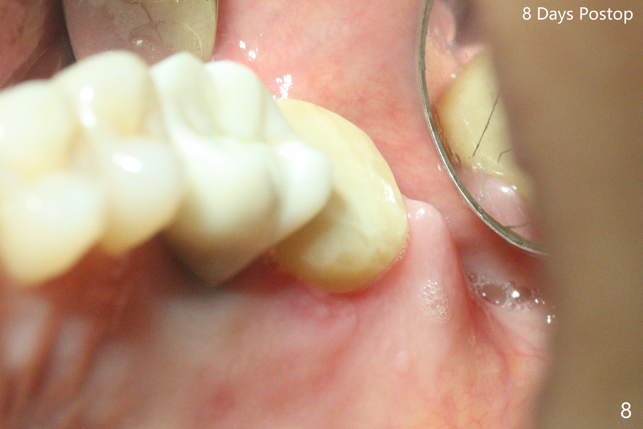
术前15号牙远中隐裂(图一:^),14号牙植体光滑面腭侧暴露(8年前腭侧窝植入),但是牙龈健康(图二)。14号牙牙槽窝没有肉芽组织,利用导板(Shinning Oral Scanner)完成3.5毫米钻洞,无法使用圆钻做内提升,改用4x10毫米报废植体提升,不幸窦膜好像破裂(因为薄),塞入半块PRF膜,促进修复,然后使用4.5x10毫米报废植体扩大植牙床(图三,四),无意达到部分提升(*),取出报废植体,发现植牙床没有穿孔了,加入少量粘性骨粉(图五:S(即使在窦内不容易分散))后,植入正式植体和基台。植体周围间隙(图五:*),使用刮匙,牙周探针,和长探针(图六)将骨粉输入深部(图七:*)。
Return to Prevent Molar Periimplantitis (Protocols, Table) Protect Graft Torque 尖牙即种 Xin Wei, DDS, PhD, MS 1st edition 06/03/2021, last revision 06/14/2021