![]() |
![]() |
![]() |
![]() |
Immediate Implant for Better
Trajectory and Less Screw Loosening
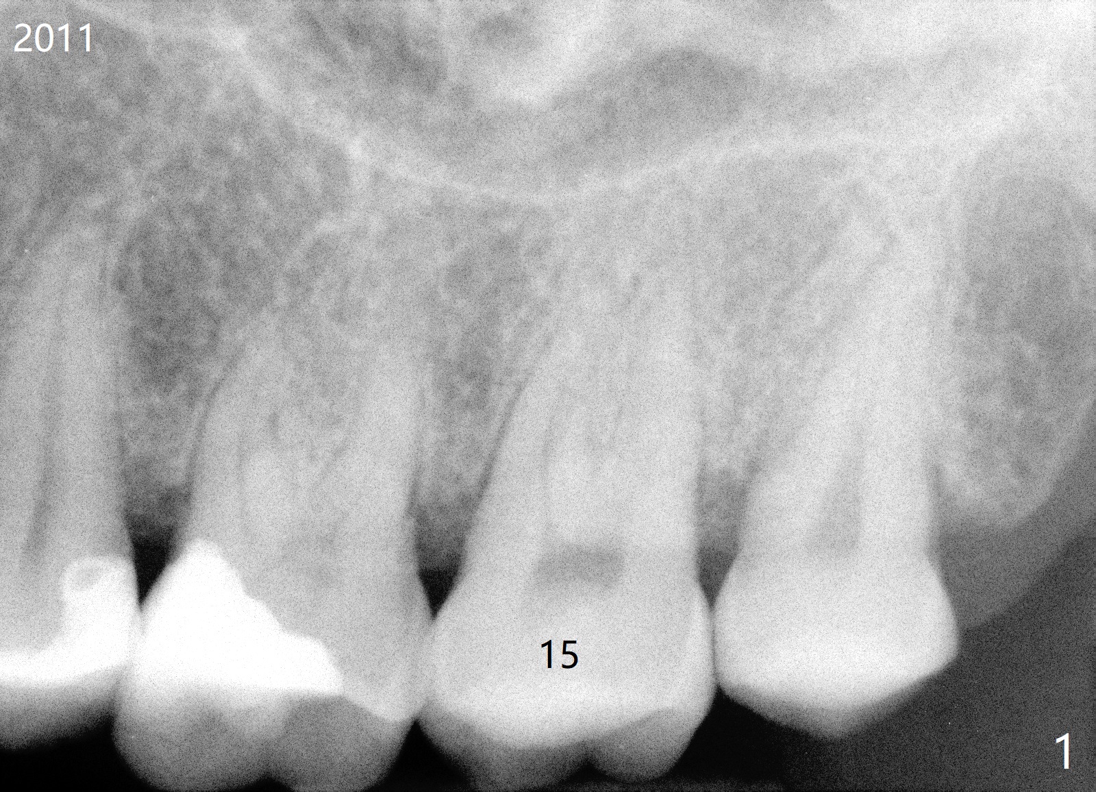
A 54-year-old woman has had palatal root fracture at #15 for several years (Fig.1,2) and finally accept extraction and immediate implant (Fig.3,4). For better trajectory and less screw loosening and crown fracture, guide will be fabricated.
Return to
Upper
Molar Immediate Implant,
Prevent Molar Periimplantitis (Protocols,
Table),
Trajectory,
No Antibiotic
Xin Wei, DDS, PhD, MS 1st edition 09/01/2018, last revision 09/28/2018