![]() |
![]() |
![]() |
![]() |
![]() |
![]() |
![]() |
|
即刻再次种植
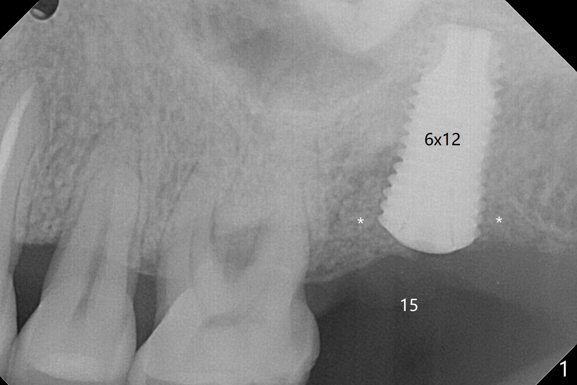
59岁男一年前因15号牙植牙周围炎去除牙冠和基台,植骨(图一:*(其实是第二次为周围炎植骨)),缝合。之后局部疼痛没有完全消失,准备再次手术(切开),如果螺纹暴露少,再次植骨。否则拔除植体(图二:黑色,手术探查的确不能挽救植体),之后有两个选择植骨(图三:灰色)或者即刻再次种植。由于原来植体比较粗(骨水平;6x12毫米),利用6(内径)/7(外径)毫米trephine drill和牙挺除去植体,留下相当大缺损(图二),植骨后(图三),位于缺损中间的骨粉(图四:棕色)可能因血供(红箭头)不足而愈合不佳。因此即刻重新种植显得有优势(图五(软组织水平植体,螺纹在自身骨(native bone)下)),让身体不必太辛苦(成骨)。放置5x5毫米基台目的是为树脂敷料提供固定点,以防PRF膜和缝线不能挽留粘性骨粉(*)。术后一个月撤除树脂敷料,伤口愈合正常(图六)。准备一个月后,制作临时牙冠。术后4个月取出5x5毫米基台,准备放置6x5毫米基台(图七),下面软组织水平植体没有疼痛或者松动,螺纹被骨粉或者再生骨质覆盖(^)。
Return to Trajectory II No Caries 植体取出后处理之二 劈开术 位点保存 Xin Wei, DDS, PhD, MS 1st edition 03/05/2021, last revision 07/04/2021