![]() |
![]() |
![]() |
Narrow Mesiodistal Space
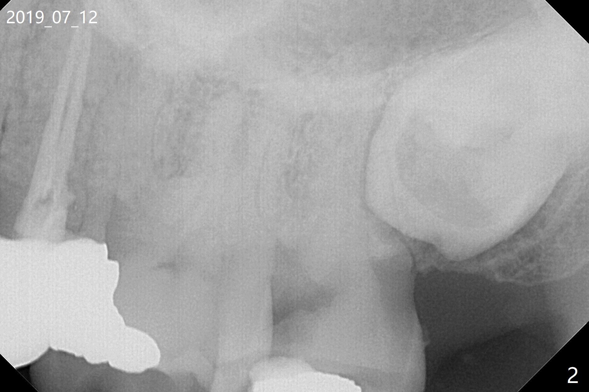
A 62-year-old man returns with acute pulpitis at #15 (Fig.1,2). The caries is confirmed subgingival after debridement. After discussion, the patient agrees with extraction and bone graft, but he does not want to have implant (Fig.3). When he changes his mind, the 3rd molar will be extracted immediately followed by implant placement with guide. Because of the narrow space, the distal surface of the distobuccal root of the 1st molar is exposed when the tooth #15 is extracted. The bone graft will prevent gingival recession of the tooth #14.
Return to
Upper
Molar Immediate Implant,
Trajectory
Xin Wei, DDS, PhD, MS 1st edition
07/14/2019, last revision
07/14/2019