![]() |
![]() |
![]() |
![]() |
![]() |
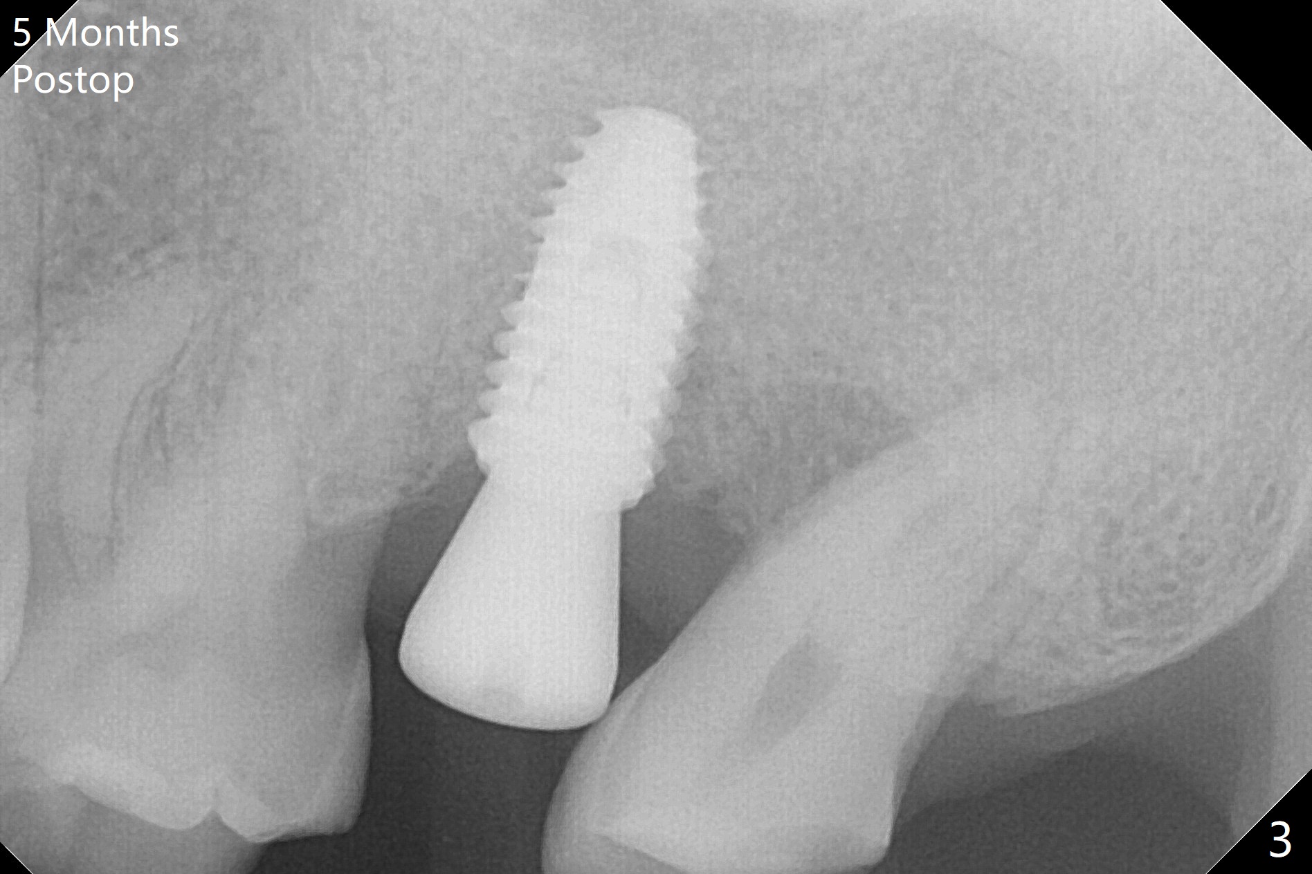
Is the Placement Deep Enough?
Osteotomy is conducted at #15 according to drill sequence (including the depth of the last drill (no tapping)), but the 5x10 mm implant is placed ~ 1mm shy of the planned depth (Fig.1 (red line: sinus floor)). Clinically the implant is ~ 2 and 4 mm subgingival buccal and palatal, respectively. Bitewing shows the implant being subcrestal mesial and equicrestal distal (Fig.2). If the implant has to be placed deeper, can a 4.0x13 mm drill be used?
Due to the fact that there's additional tip end of 1.2mm at every osteotomy drills, I intentionally put 1 size shorter drilling sequence in order not to perforate sinus membrane. However, if you think that due to the inferior cortical bone, the apex of implant got stuck then you can just go with regular drilling sequence. Not with the 1 size shorter drilling sequence. And then place implant according to the marker of the fixture driver. Jennifer.
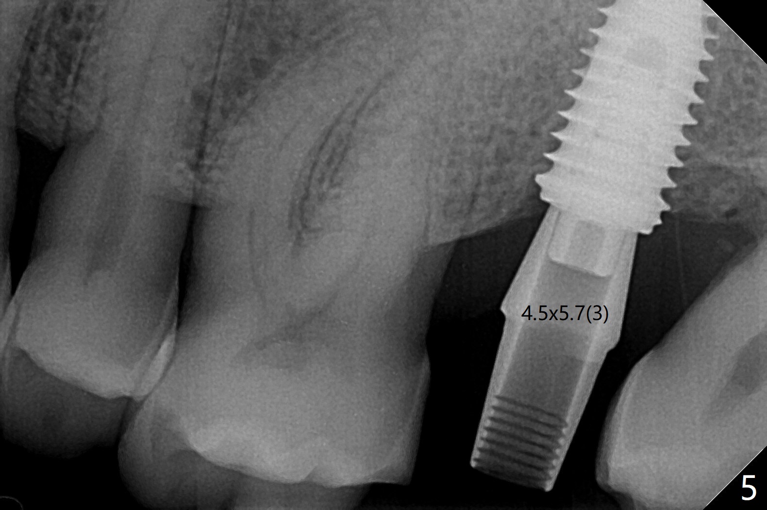
For the narrow mesiodistal space (Fig.3), a 4.5x4.5(3) mm cementation abutment is placed for final restoration. He expresses interest in implants at #29 and 30 or #19. The screw is loose 2 years 5 months post cementation; the crown/abutment is incompletely seated after proximal reduction of the crown (Fig.4). Due to the narrow space, a new abutment appears to be easier to be seated (Fig.5). When the permanent crown is delivered, the distal contact is loose, probably related to ill-fitting temp. The permanent crown is cemented with temp bond. Return to Upper Molar Immediate Implant, Armaments, Guide for 29/30 Torque Xin Wei, DDS, PhD, MS 1st edition 05/11/2018, last revision 04/19/2021