![]() |
![]() |
![]() |
![]() |
![]() |
|
![]() |
![]() |
|
Single
Large Socket I
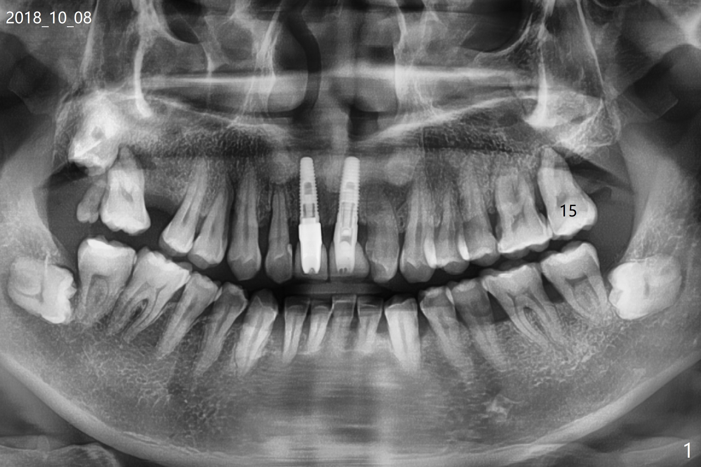
A 54-year-old man returns to clinic 5 months post SRP with chief complaint of UL loose tooth (#15, Fig.1). Since the remaining bone is limited after extraction, it is apparently unsuitable for immediate implant (Fig.2). Socket preservation seems to be able to gain bone height near gingival margin (Fig.3 red line). In fact 1 cc of cortical and cancellous bone mixture is used; after heavy debridement the bone graft is deposited on the distal root surface of the tooth #14 (Fig.4 arrow). The bone increases not only coronally, but also apically (Fig.5 blue lines, as compared to red lines denoting the original bone height). The bone reduces in height 10 months postop (Fig.6). Sinus lift is required for placement of a short implant (Fig.7). Socket preservation does not prevent post-extraction bone loss.
Return to Upper Molar Immediate Implant, Trajectory No Deviation 牙周敷料
Xin Wei, DDS, PhD, MS 1st edition 03/20/2019, last revision 03/25/2021