![]() |
![]() |
![]() |
|
![]() |
![]() |
![]() |
|
![]() |
![]() |
![]() |
|
![]() |
![]() |
![]() |
![]() |
NovaBone Putty修复上颌窦膜
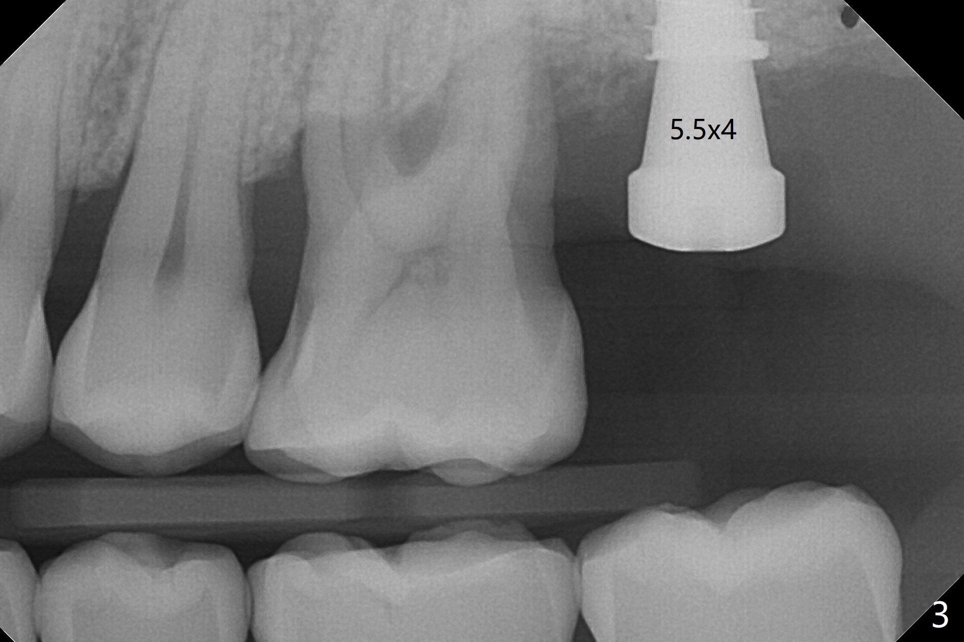
左上7完成初步钻洞,园钻头无法插入导板金属圈,用2.2毫米钻头钻深2毫米,窦膜似乎完整,在没有骨粉情况下,使用4x10毫米报废植体做上颌窦提升(图一),可能一下提升太多,窦膜破了,塞入两小块胶原膜,注入NovaBone
Putty (in
cartridge),植入短小植体(4.5x7毫米,原定(5x8.5毫米)图二),由于稳定性好,使用5.5毫米profile钻头后,放置5.5x4毫米愈合基台(图三)。术后病人没有什么上颌窦不适和分泌物。估计Novo
Bone在上颌窦里凝固了。其实左侧上颌窦粘膜术前增厚(图四,五:L),人工骨仿佛弥撒在上颌窦膜中(图六)。术后一周病人没有任何鼻窦症状。术后4.5月旋转愈合基台时,病人感到疼痛,终止取模(图七),两个月后复诊,做progressive loading。术后5.5月旋转愈合基台时,植体一起出来,但是上颌窦膜没有破,放置大一号植体(报废)扭力不够(图八),再大一号扭力可以(图九),放置愈合帽。由于邻牙长(图九:双箭头),牙周敷料逗留三周不掉(图十:P)。撤除后,伤口愈合正常。The
implant is stable upon uncover 3.5 months postop (Fig.11).
一个月后安置修复基台,开始progressive loading,临时牙冠没有咬合。
Return to
No Deviation
开场白
牙周敷料
7
Xin Wei, DDS, PhD, MS 1st edition 08/17/2020, last revision 08/14/2021