![]() |
![]() |
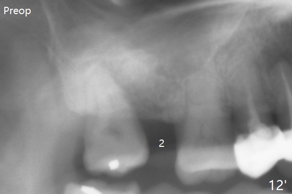
The distal cortical bone contacts the implant (Fig.12 ^), while the mesial bone increases in density (*) 2 years postop, as compared to Fig.12' (preop).
Implant Placement in Slope Last Next
Xin Wei, DDS, PhD, MS 1st edition 01/17/2020, last revision 01/18/2020