![]() |
![]() |
![]() |
Long Bone and Possible Osteoporosis M
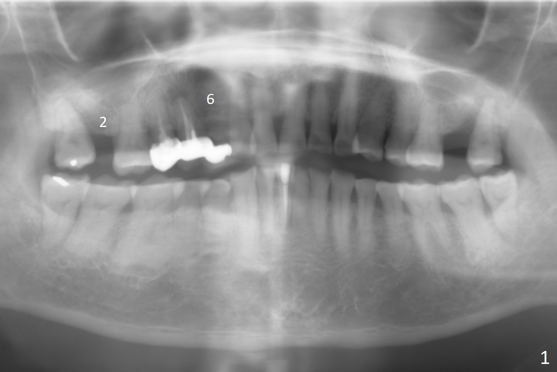
A 59-year-old woman has 2 issues: abscess mesiopalatal to #1 and a 30-year-old #4-6 cantilever FPD with a diastema between #6 and 7 (a cosmetic issue in the patient's mind, Fig.1). Since there is a lot of bone at #6 with apparently low bone density (Fig.2), a long implant will be placed: either 1- (SM, IS, or Tatum) or 2-pieces (UF). Take photos to show a gap mesioapical to the pontic and the narrow ridge (incisal view) after pontic removal. Use Magic Split for access and initial bone expansion.
The tooth #1 will be extracted first, immediately followed by osteotomy at #2 (in the mesial slope of the tooth #1, obliquely (Fig.3 arrow) with 8.5 mm initial depth. When osteotomy increases to 3.8 mm in diameter, use 3.6 mm S-reamer for sinus lift.
Return to
Upper
Molar
Canine Immediate Implant, Prevent
Molar Periimplantitis (Protocols,
Table),
Armaments,
No Antibiotic
修复
Xin Wei, DDS, PhD, MS 1st edition 11/19/2017, last revision 06/16/2021