![]() |
![]() |
![]() |
![]() |
![]() |
咬合塌陷
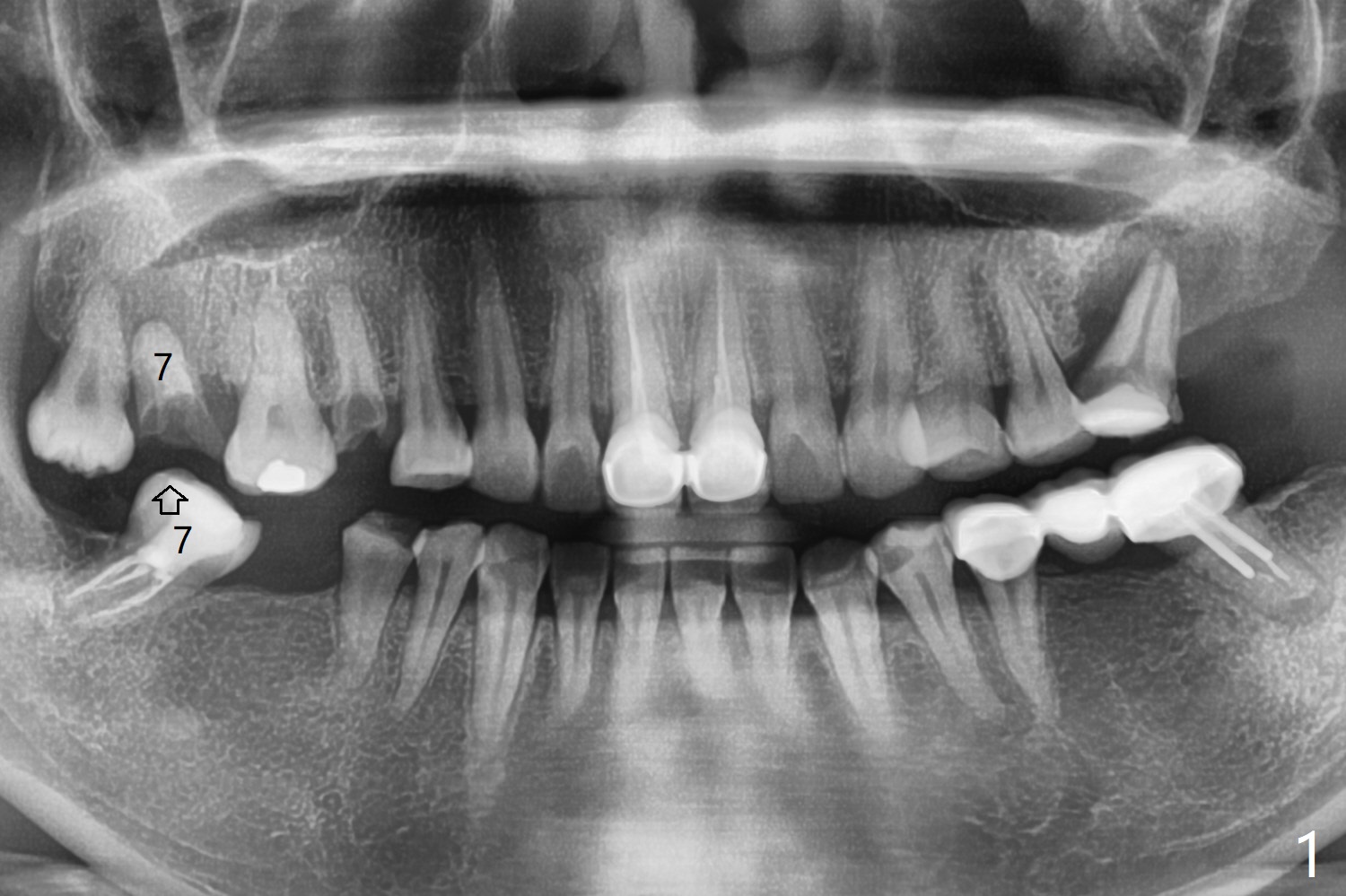
38岁女,牙列不全,咬合塌陷,因右上7疼痛就诊(图一),十分恐惧治疗,虽然残根好像不大,骨粉填入不少(图二:*;使用.5毫升GEM21S,异体骨和合成材料(ß-TCP (beta tricalcium phosphate)),使用不带齿刮匙或者充填器压入牙槽窝。使用GEM Cap(9-12月吸收膜)关闭牙槽窝开口(图三:C),牙周胶水固定膜。由于右下7延申(图一(箭头),四),没有空间放置牙周或者树脂敷料。膜术后4天脱落(加用缝线可以避免早期脱落),7天伤口明显缩小(膜早期脱落好处,图五,与图三对比),白色的骨粉仿佛稳定,所以没有做特殊处理,观察。No Caries GEM21S Xin Wei, DDS, PhD, MS 1st edition 01/26/2021, last revision 02/01/2021