![]() |
![]() |
|
![]() |
![]() |
![]() |
Mesial Slope of Socket
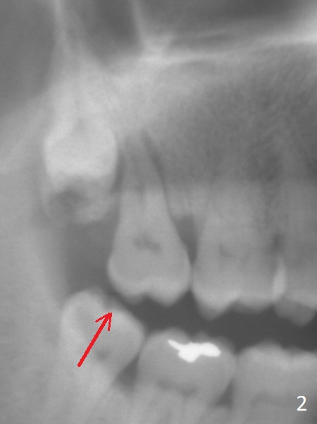
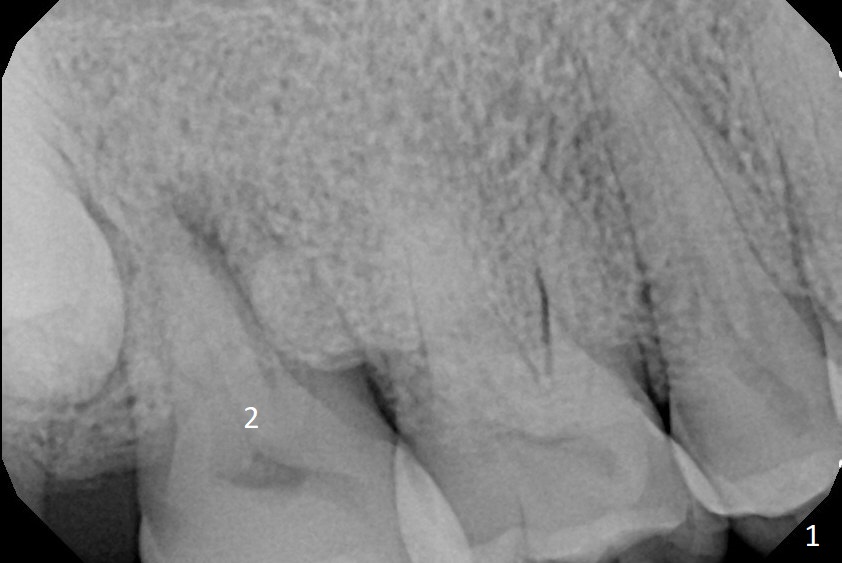
A 67-year-old man has pain associated with the tooth #2 with distal deep pockets (Fig.1), consistent with root fracture. The abnormal force may arise from the mesioangular lower 3rd molar (Fig.2 arrow). To avoid damage to the upper 3rd molar, osteotomy will be initiated obliquely with starter drill in the mesial slope of the socket (Fig.3 red). Once the starter drill makes a short entry, use 2 mm drill to change trajectory (Fig.4). Due to the uneven wall, an implant is expected to be placed distally by itself (Fig.5). The bone height is ~18 mm. If the patient agrees, remove the lower 3rd molar (Fig.5 black area).
Return to
Upper
Molar Immediate Implant, Prevent
Molar Periimplantitis (Protocols,
Table), Armaments,
No Antibiotic
Xin Wei, DDS, PhD, MS 1st edition 12/11/2017, last revision 12/11/2017