![]() |
![]() |
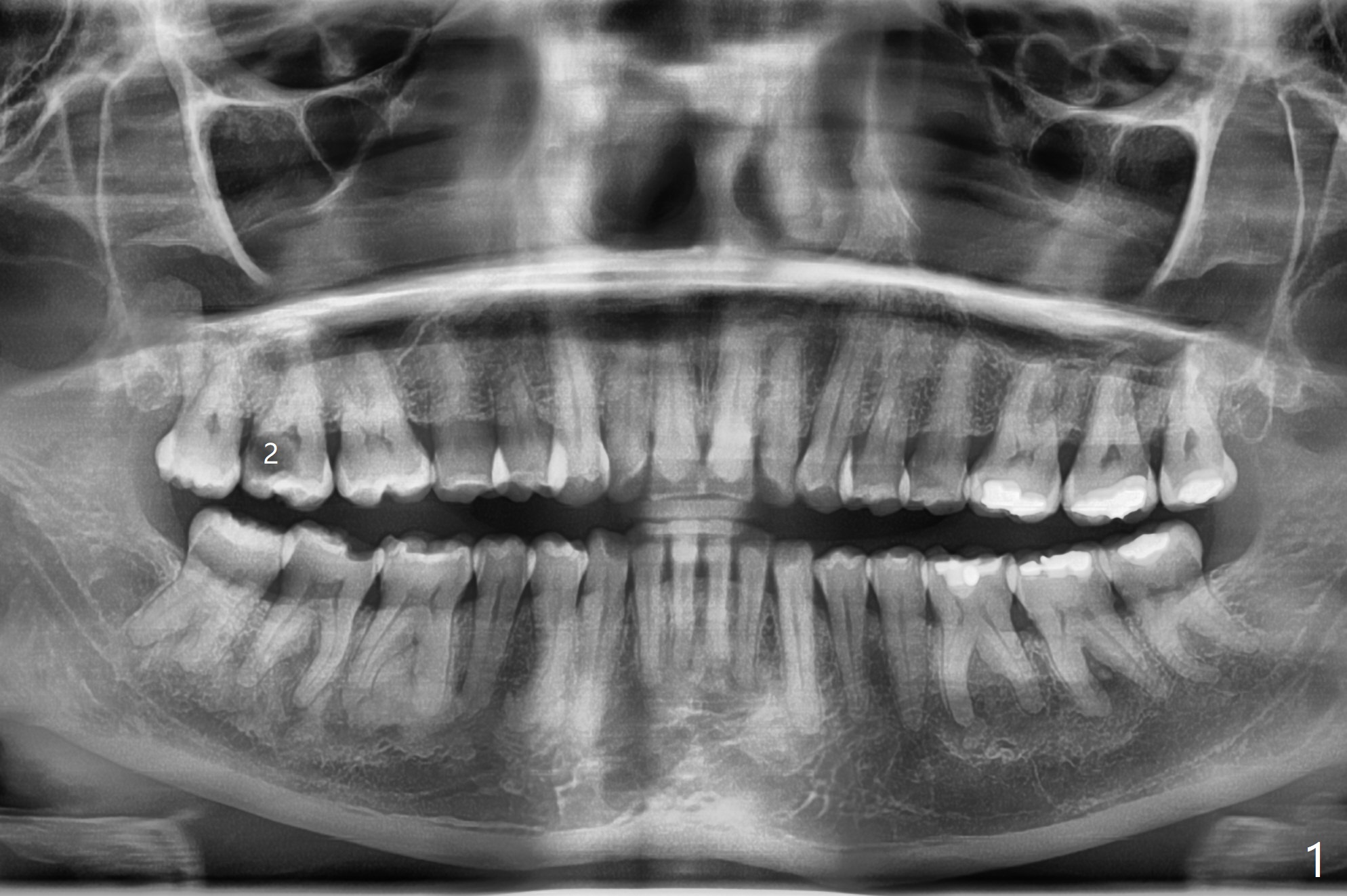
Early Socket
Healing Observation
A 49-year-old woman, a dental phobic, refuses RCT for the tooth #2 (Fig.1) and agrees with extraction. With socket preservation with allograft and Osteogen plug, the socket heals in 3 weeks (Fig.2).
Return to
Upper
Molar Immediate Implant,
Trajectory
Xin Wei, DDS, PhD, MS 1st edition
01/22/2019, last revision
02/14/2019