![]() |
![]() |
![]() |
![]() |
![]() |
![]() |
一步到位
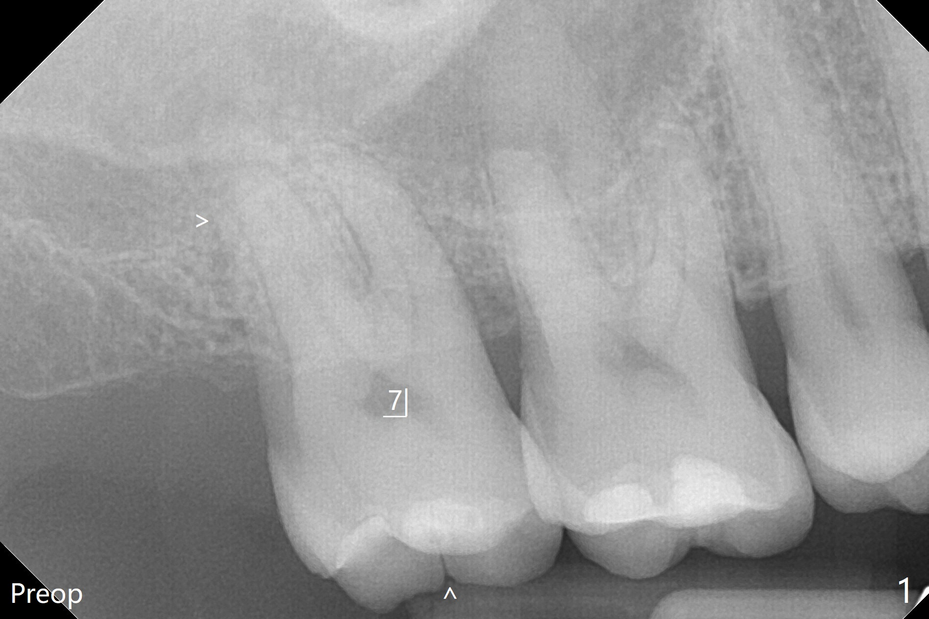
在导航协助下,我们可以一期准确进行上颌窦提升,即刻种植,即刻修复。56岁男(吸烟)右侧上颌窦有粘液囊肿,右上七牙齿折裂(图一(术前):^),CT检查表明植体植入腭侧牙槽窝比较合适(图一:>)。为了减少对囊肿损伤,我们使用导板(图二 *)完成初步钻洞,接近上颌窦底板,然后放置粘性骨(>),用4x10毫米dummy(报废)植体慢速(15 RPM)旋入进行内提升,同时准确控制深度。再次放置骨粉,使用4.5x10毫米报废植体上推;最后放置骨粉后(图三 >),植入正式植体(5x9毫米,扭力大于35Ncm)和修复基台(6.5x4(4)),怀疑后者没有完全就位,后来使用小的基台(图四,并且调整高度),植体和基台周围放置骨粉(*),然后安置临时牙冠。咬颌面没有接触,临时牙冠主要目的是防止骨粉丢失。反复告诉病人不能咬东西。术后两周病人主诉临时牙冠太大,试图减少颊舌侧向,不幸的是却减少近中远中向,造成临时牙冠不稳定。一周后牙冠和基台松动,取出,放置愈合螺帽,牙槽窝基本愈合。病人将术后近四个月复诊,拍摄根尖片和咬翼片,如果骨质愈合良好,尝试在尚未完全愈合的伤口放置小号愈合基台。术后5个月牙冠粘固后拧紧植体松动,取出(图五(*:缺损)),植骨。四个月后骨质高度近5毫米(图六)。再次植入尽量避免窦膜穿孔(粘液囊肿),塞入PRF膜。Return to Upper Molar Immediate Implant, Prevent Molar Periimplantitis (Protocols, Table) No Deviation 不理想病例 开场白Xin Wei, DDS, PhD, MS 1st edition 08/10/2020, last revision 06/12/2021