![]() |
![]() |
![]() |
![]() |
Prepare for Implant Redo
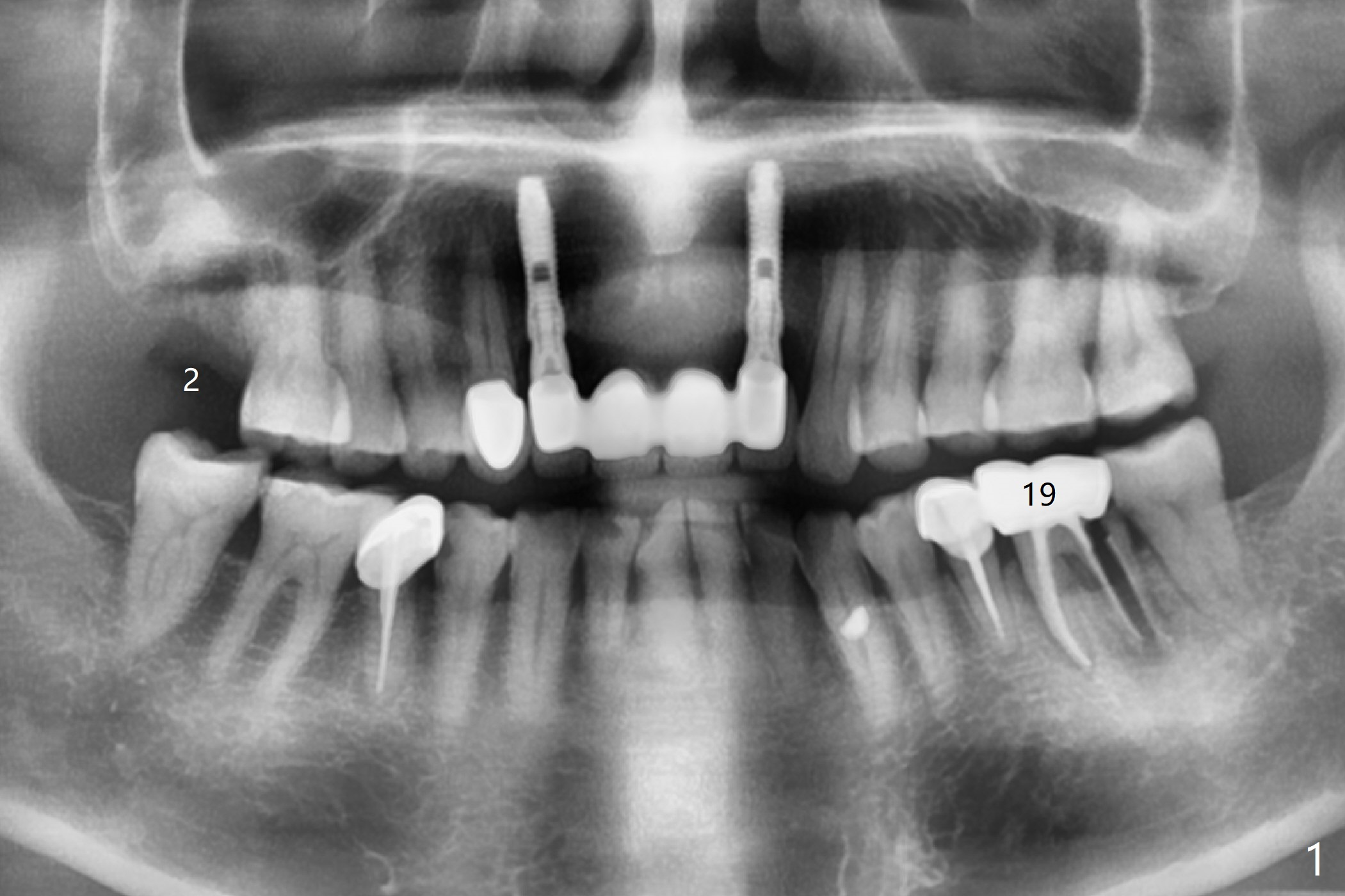
A 55-year-old man with chronic sinusitis, gagging and bruxism returns for #2 implant redo nearly 4 months post implant removal and bone graft (Fig.1). It appears that the site heals with ~ 860 HU (Fig.2). Considering history of chronic sinusitis, a 5x10 mm implant seems too long (Fig.3). For active gag reflex, a 5x11.5 mm implant may be also too long at #19 (Fig.4).
Return to Upper Lower Molar Immediate Implant, Prevent Molar Periimplantitis (Protocols, Table), Trajectory, Clindamycin Metronidazole No Antibiotic, #7,10, 19
Xin Wei, DDS, PhD, MS 1st edition 11/03/2018, last revision 11/17/2018