![]() |
![]() |
|
![]() |
![]() |
![]() |
![]() |
![]() |
![]() |
![]() |
![]() |
![]() |
![]() |
骨凿内提升
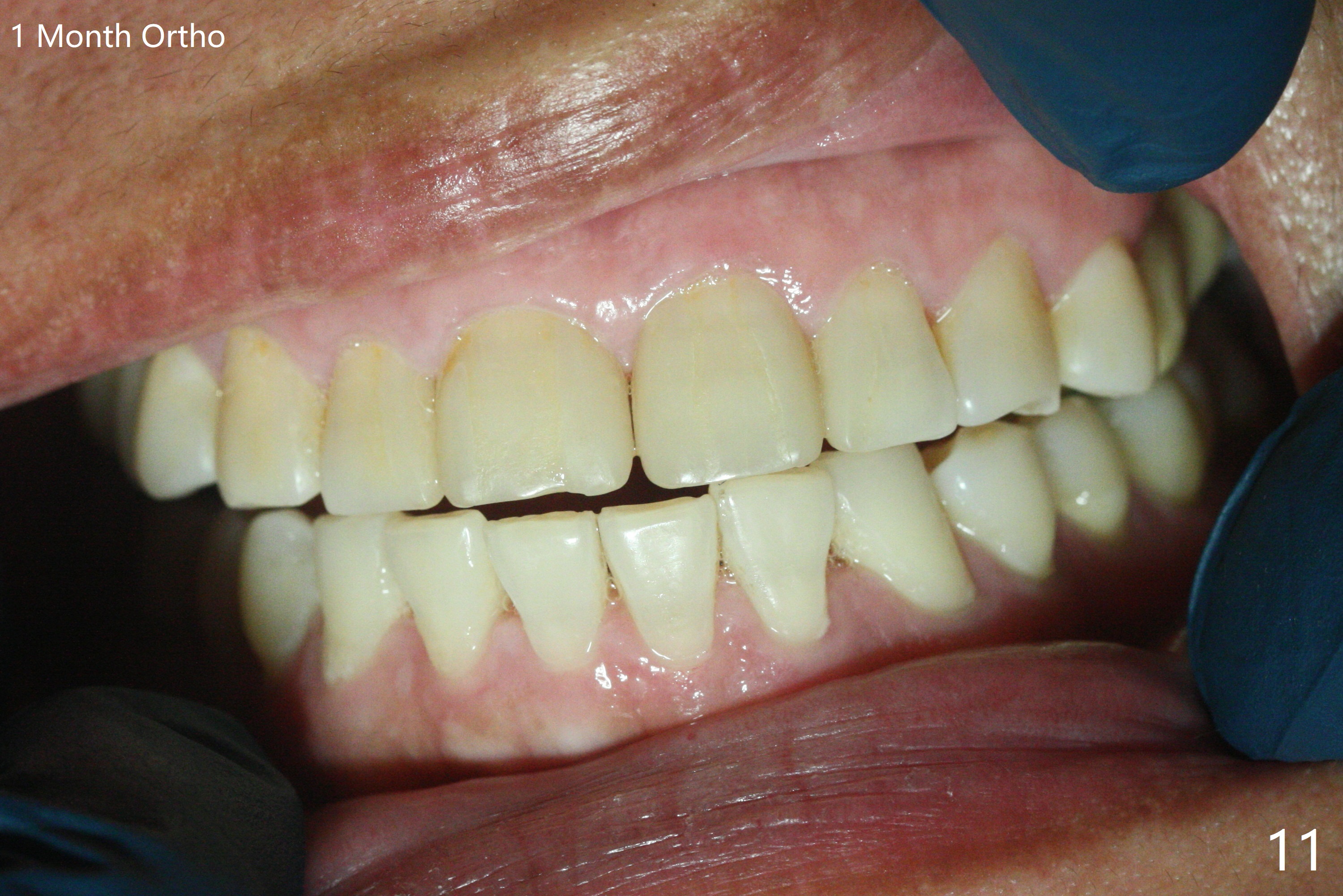
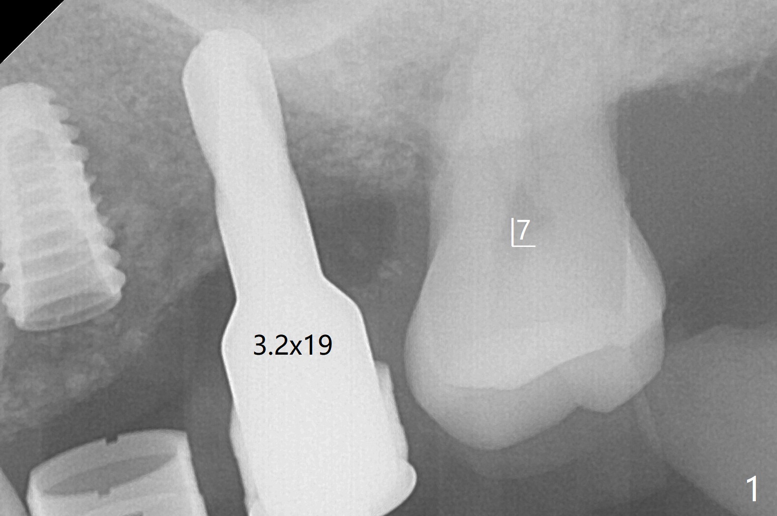
左上六植牙第三次失败后五个月,牙槽嵴宽度尚可,切开后放置导板,3.2乘19毫米园钻头好像接近上颌窦底板(图一),但是粘性骨块和4乘10毫米报废植体就不能进入上颌窦(图二),最后不得不使用3毫米Bicon骨凿,之后同一个报废植体就似乎进入上颌窦(图三),4.5乘8.5毫米正式植体植入深度和稳定性均正常(图四),腭侧植体稍微暴露,放置愈合螺丝后,放置骨粉和PRF膜,缝合,左上5植体放置5.7x4.5(4)毫米基台,固定牙周敷料。术后5.5个月植体好像整合(图五),缺牙间隙特别小,5临时牙冠(P)必须取出才能切开暴露植体,放置5.5x5毫米愈合基台(图六)。伤口愈合后,必须做渐进性负荷,之后做简单局部矫正,推7往远中,6缺失3年,7往近中倾斜移位。两周后牙周敷料脱落,伤口愈合,放置修复基台,故意将基台平面朝远中,足够空间制作临时牙冠(图七)。调整基台长度(比较图七,八)。制作连体牙冠(5,6),有意提高5牙冠高度,使左上7不与对合牙接触,有利于远中移位(图九)。也要在对侧提高咬合(图十)。局部矫正一个月后,磨去右侧咬合垫和磨短左上5,6临时牙冠,前牙还不能完全接触(图十一)。1-2星期前牙开合自行消失,取模做左上5,6牙冠。局部矫正似乎使左上7远中移位大约3毫米(比较图十二,十三)。粘固拧紧后(20 Ncm)14号牙牙冠咬合增高,拍摄根尖片(图十三),两个基台好像仍然完全就位,然后调整咬合。
Return to Trajectory Trajectory II No Deviation 导板与内提升 Screw Torque Xin Wei, DDS, PhD, MS 1st edition 08/24/2020, last revision 04/15/2021