![]() |
![]() |
![]() |
![]() |
![]() |
|||
Supraeruption with Bone Loss
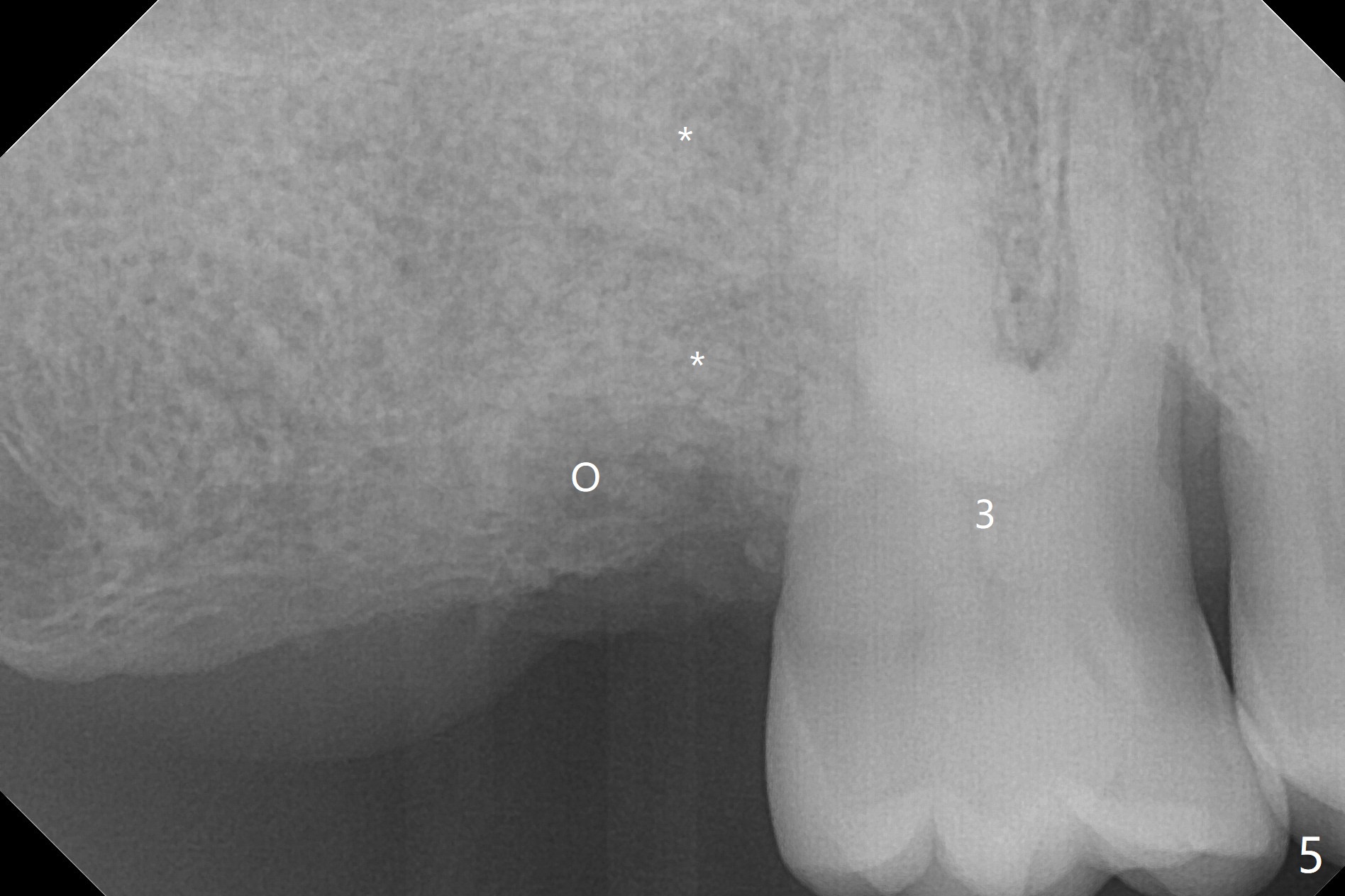
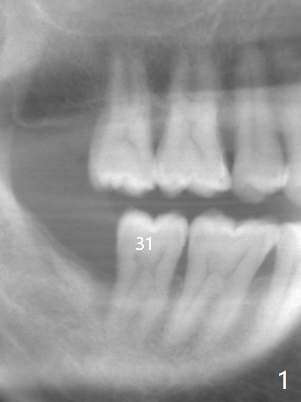
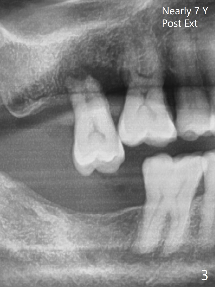
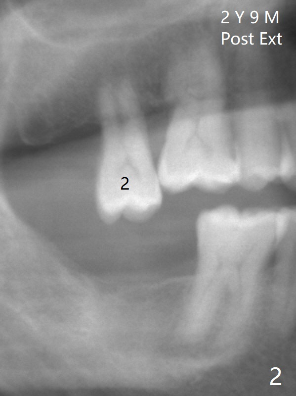
A 62-year-old man does not masticate on the right side due to facial paralysis (Fig.1 (pan taken ~ 8.5 years earlier)). Two years 9 months post #31 extraction, the tooth #2 has supraerupted (Fig.2). Nearly 7 years post extraction of #31 (Fig.3), the patient requests extraction of the supraerupted tooth because of repeated infection (Fig.4 distal view of the extracted tooth). There is calculus in the furca between the palatal (P) and buccal (B) roots. To facilitate bone regeneration in the distal surface of the tooth #3, Osteogen plug is placed in the distal portion of the socket of #2 (Fig.5 O), while allograft in the mesial one (*).
Return to Upper Molar Immediate Implant, Trajectory Xin Wei, DDS, PhD, MS 1st edition 02/20/2019, last revision 07/14/2019