牙槽嵴不平

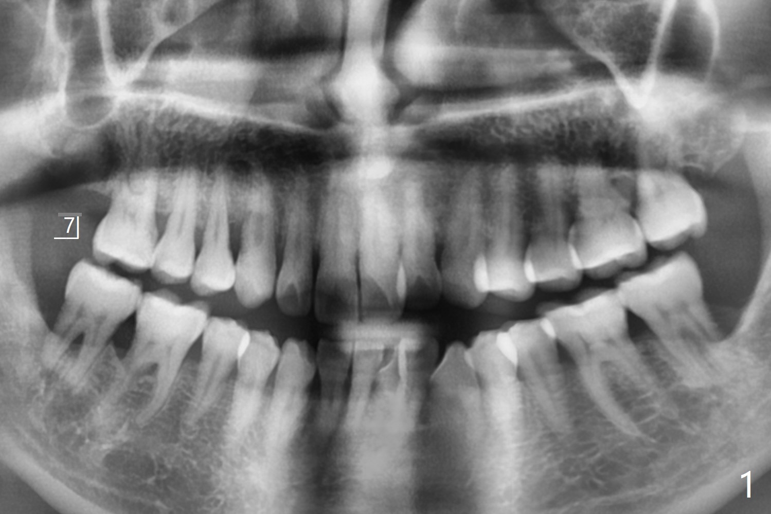
53岁男一年前在别的诊所做右上7拔牙植骨,现在要求植牙(图一),其余牙齿骨质吸收严重,植牙更显得重要。缺牙区植骨密度正常,但是牙槽嵴不平(图二:箭头),导板种植,植体可能偏向低处(阻力低的区域:远中,腭侧(图三:箭头)),几年后可能出现螺纹暴露

Return to No Deviation  手术 位点保留后 位点保存/导板 IBS Xin Wei, DDS, PhD, MS 1st edition 10/09/2020, last revision 05/23/2021