![]() |
![]() |
![]() |
![]() |
![]() |
![]() |
Bruxism M
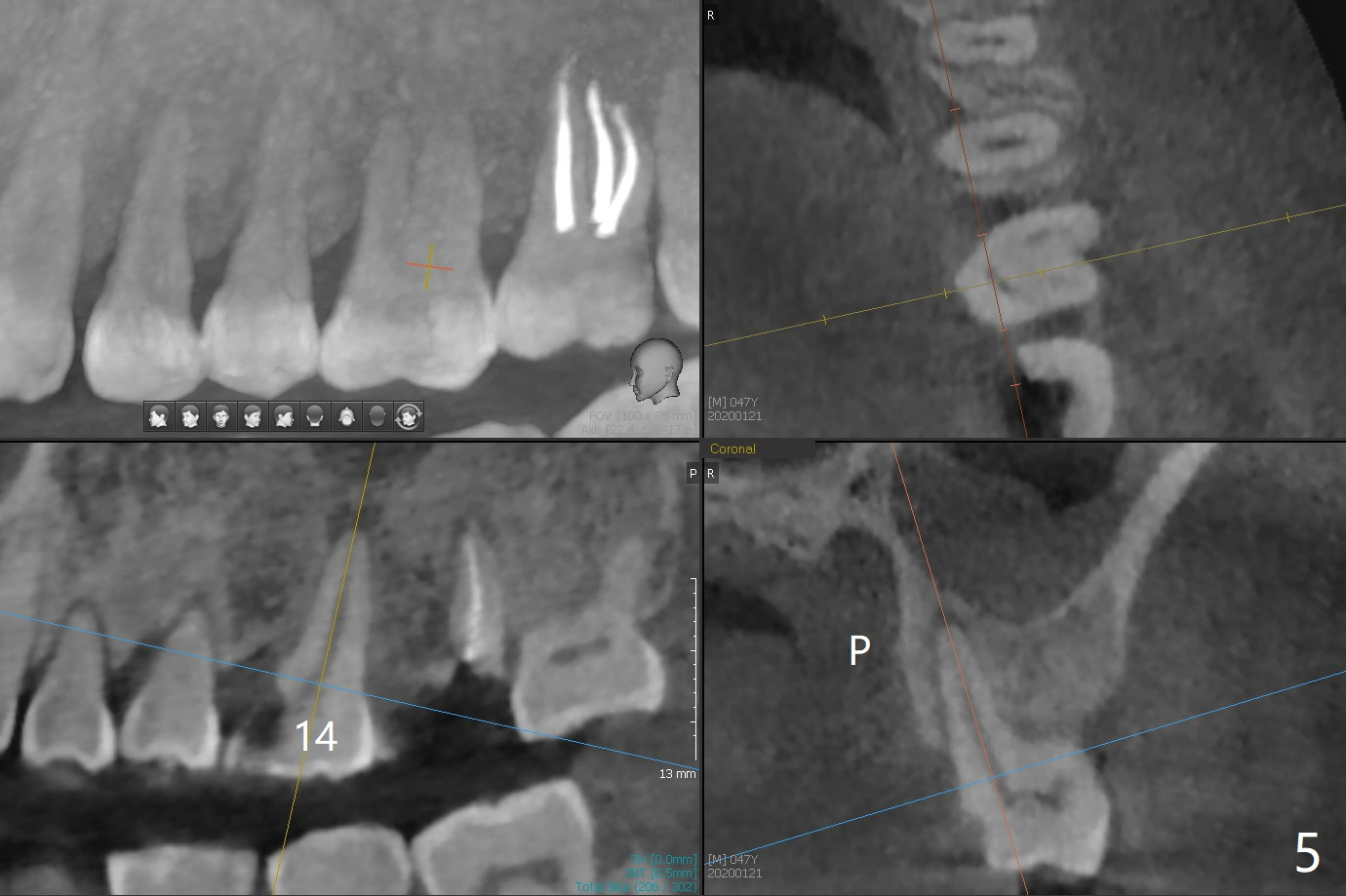
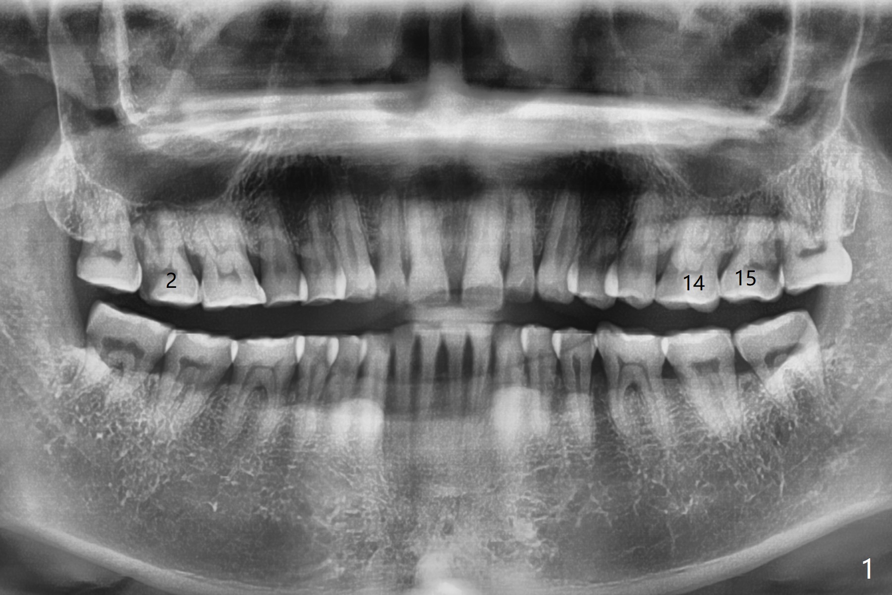
A 47-year-old man has pain at #2 and 15, while #14 has mesiolingual subgingival fracture (Fig.1). #2 is deemed non-salvageable by an endodontist, whereas RCT is finished at #15. When the patient returns for restoration, he reports that the filling is out at #15. In fact it has subcrestal fracture (Fig.2), while #14 equicrestal and difficult to restore (Fig.3). Although the patient agrees to have implants at #2 and 15, DB bone loss at #2 makes it difficult for implant (Fig.4). Use FC implant for primary stability. Insert a small piece of cotton pellet or healing screw and pack sticky bone around the implant before placing a temporary abutment. The latter will form a large gingival cuff, which makes it easy to place pair abutment without interference from the crestal bone. Screw loosening will be reduced. In fact there is PARL of the palatal root of #14 (Fig.5). A FC implant will be also placed at #15 for the same reason (Fig.6).
Return to
Upper
Molar Immediate Implant,
Prevent Molar Periimplantitis (Protocols,
Table)
No Deviation
Metronidazole
Xin Wei, DDS, PhD, MS 1st edition
01/21/2020, last revision
01/24/2020