![]() |
![]() |
![]() |
![]() |
![]() |
![]() |
Bruxism
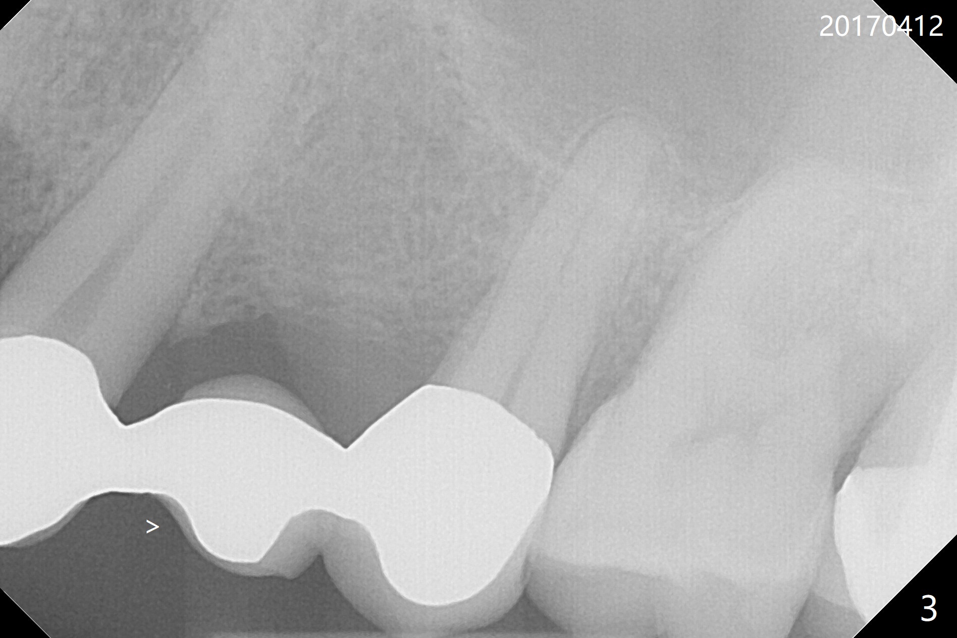
A 71-year-old man finally agrees to have an implant to be placed at #2 four years being our patient. The break point is that the crown at #30 needs recementation. The tooth #2 was missing when he presented for new patient exam (Fig.1,2). The bone loss between #30 and 31 is mild (Fig.1 *) with a small diastema (Fig.2 >). Porcelain chips at the pontic (Fig.3 >). The bone height at #2 is limited (Fig.4). The bone loss and the diastema seem to have got worse in the last 3-4 years (Fig.5). The tooth #15 has mobility with exposure of the buccal roots (Fig.6). Because of bruxism, consider flap surgery to bury the implant at #2 with guide.
Return to
Prevent Molar Periimplantitis (Protocols,
Table)
No Deviation
Clindamycin Metronidazole
No Antibiotic
Webinars
Xin Wei,
DDS, PhD, MS 1st edition 07/11/2020, last revision
07/11/2020