![]() |
![]() |
|
![]() |
![]() |
![]() |
![]() |
![]() |
|
![]() |
![]() |
|
![]() |
![]() |
|
RCT Prior to Implant? I
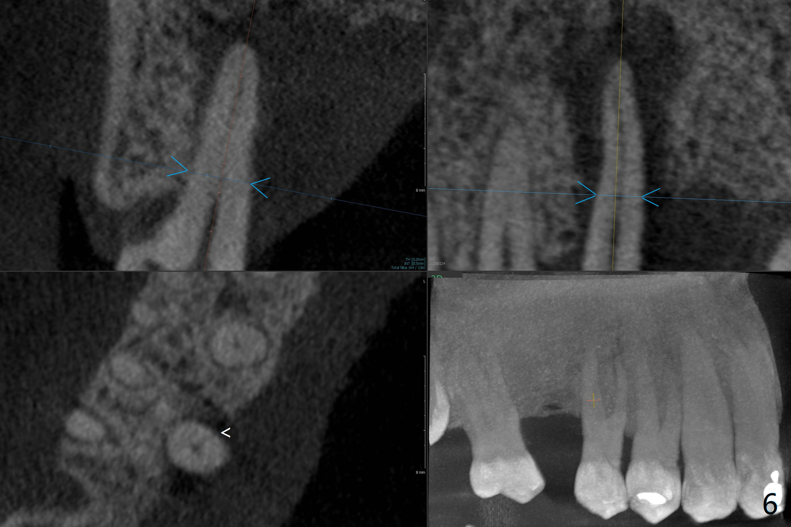
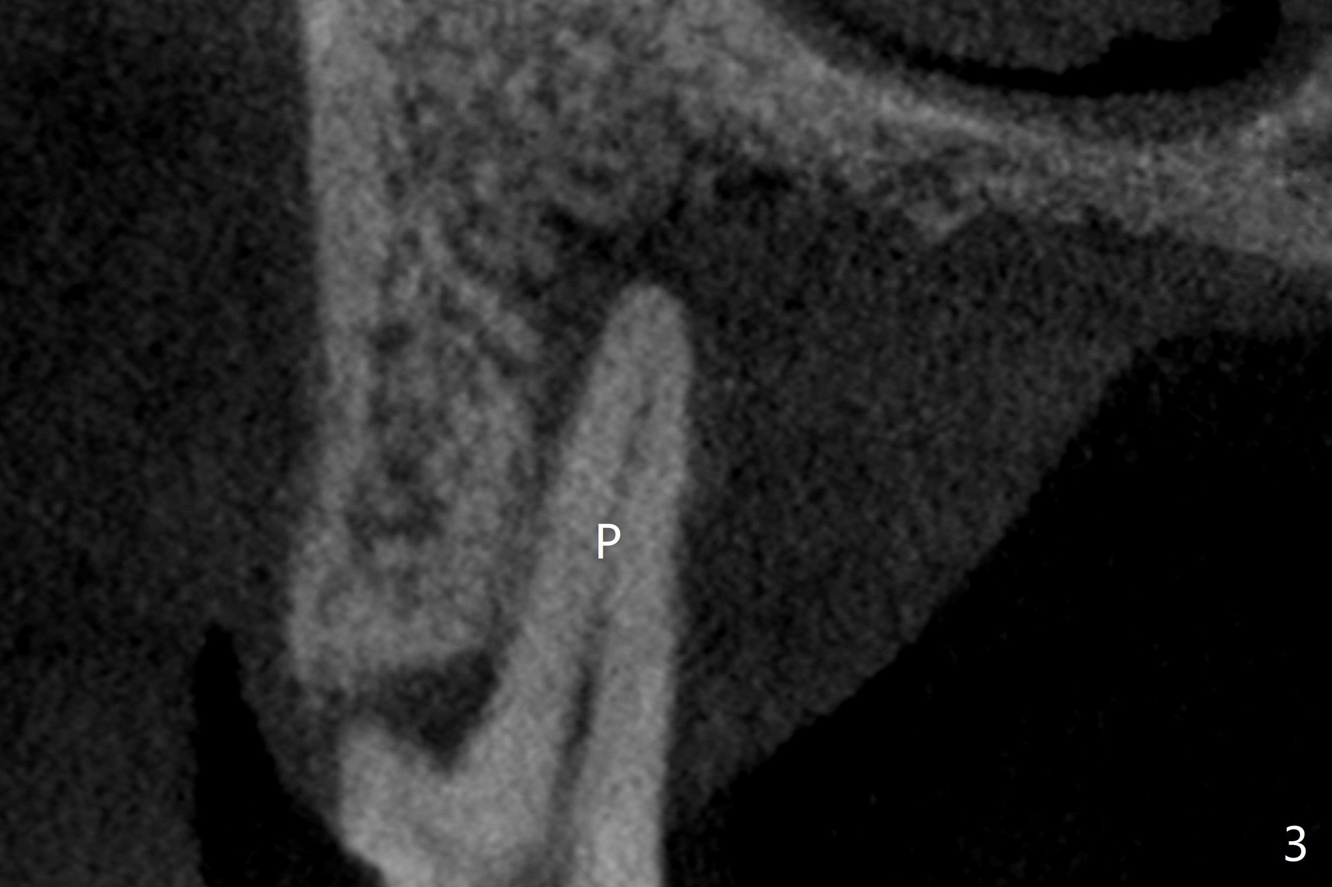
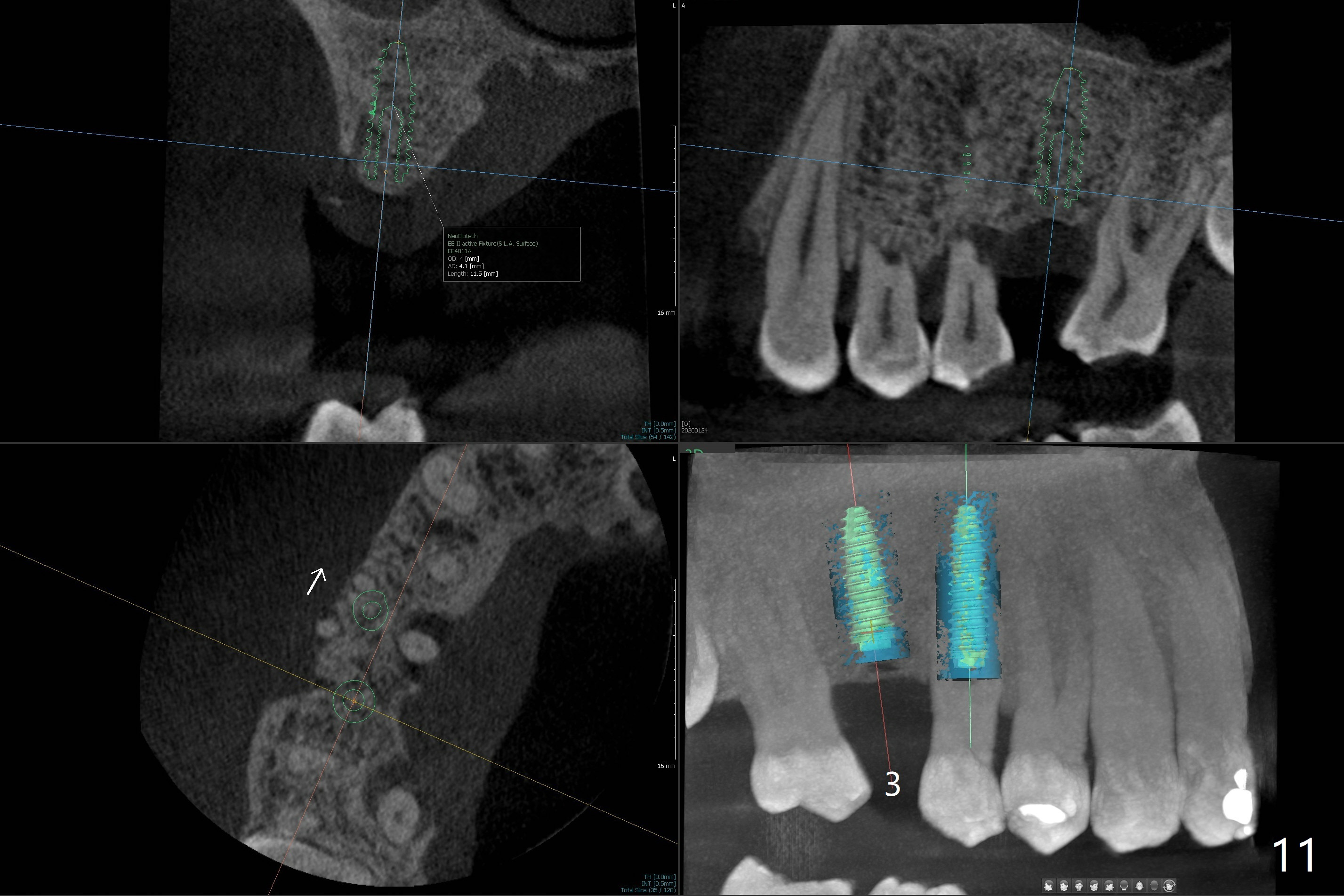
A 52-year-old man (smoker 1 ppd) has toothache in UR. The tooth #4 has severe Class V defect (Fig.1 *), periapical radio-lucency (PARL, arrow-heads) around the buccal roots and mild percu-ssion. PARL is more severe around the palatal root (Fig.2 P). Since it seems difficult to do socket preser-vation, can we do RCT to regrow bone before implant? CT coronal section shows the palatal defect of the palatal root (Fig.3,4), while sagittal one shows J defect of the palatal root, associated with root fracture (Fig.5). In fact the palatal root has transverse fracture at crestal level (Fig.6-8). The tooth #4 will be extracted for immediate implant (Fig.9,10); a 4 mm implant will be placed in the narrow space of #3 at the same time (Fig.11). The patient had symptoms consistent with aortic aneurysm. Since then smoke has been quit.
Return to
No Deviation
Xin Wei, DDS, PhD, MS 1st edition
02/23/2020, last revision
10/04/2020