![]() |
![]() |
![]() |
![]() |
![]() |
|||
Longer
Implants than Designed
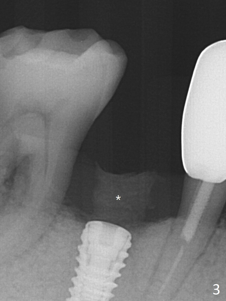
At the time of surgery, there are no 5x10 mm implants in the office for the sites of #14 and 15. Reanalysis of CT shows that there is enough bone for 11.5 mm implants. Before implant placement (Fig.1), there is no perforation of the sinus floor, as shown by probing and nasal blowing test. When a 3.5x11.5 mm implant is placed at #29 in the same appointment, it appears to be supracrestal buccal. Autogenous bone (Fig.2,3 *) is placed in the osteotomy following insertion of a healing screw (S). Periodontal dressing is applied, but it is dislodged after dinner. In fact there is bone coronal to the implant 4.5 months postop (Fig.4), which is confirmed during uncover procedure. There is no abnormality at #14 or 15 4.5 months postop (Fig.5). Impression is taken following extraction of the abnormally shifted opposing tooth #18.
Return to Upper Molar Lower Premolar Immediate Implant, Trajectory, 18 Xin Wei, DDS, PhD, MS 1st edition 01/29/2019, last revision 08/07/2019