![]() |
![]() |
![]() |
![]() |
3 Implant Placement with Guide
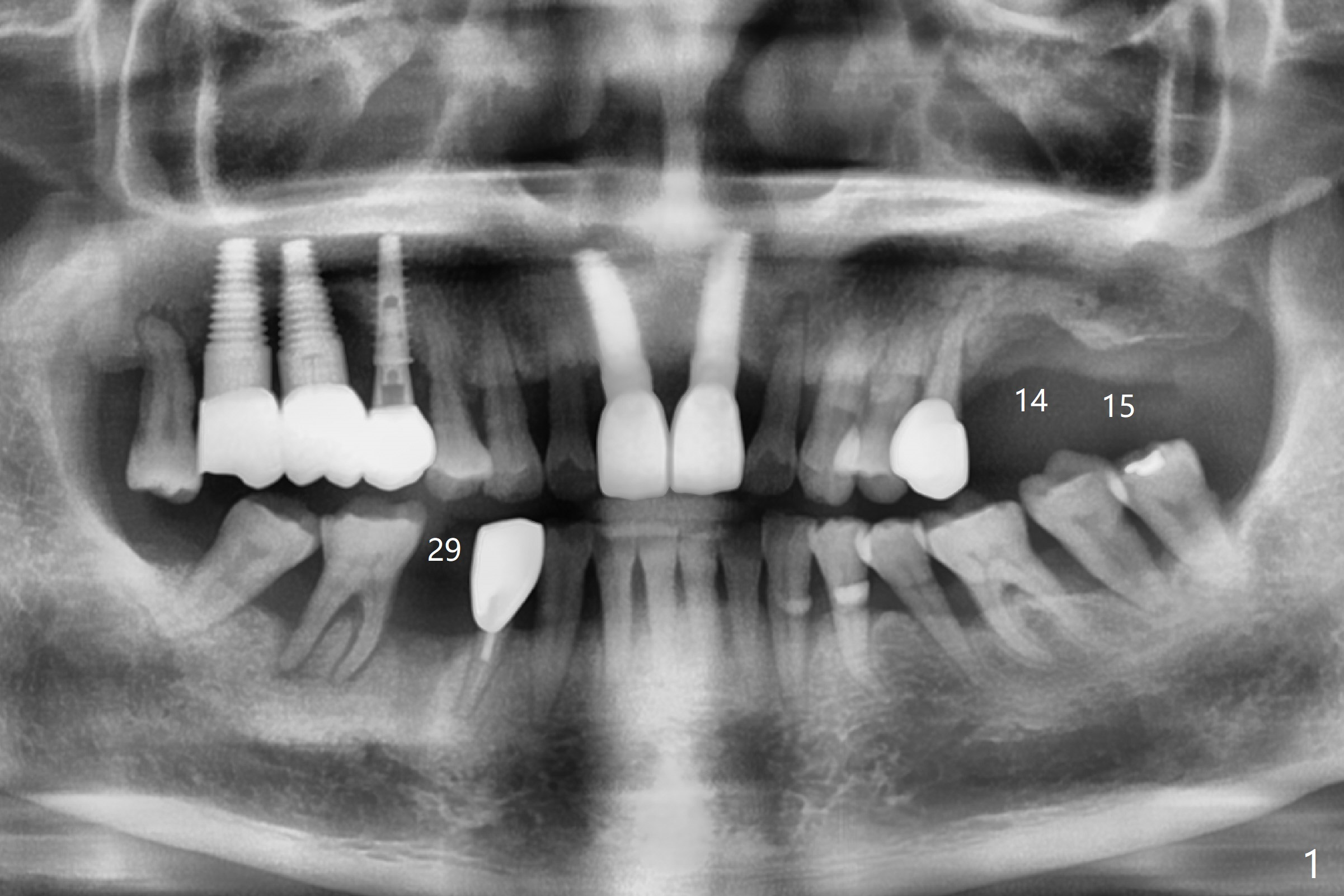
A 48-year-old man returns for implant placement at #14,15 and 29 (5 months post implant removal, 1 year post extraction and 2.5 months post implant removal, respectively, all with bone graft, Fig.1). Since the bone height at #14 and 15 is sufficient and sockets heal, implant placement will be done first (Fig.2,3), as compared to those at #29 (Fig.4). The tooth #18 is periodontally compromised with buccally cross bite (Fig.1); the position of the implant at #15 will be set up normally. When the site of #29 is ready for implant, use a large one (4.5 or 5x8.5 mm; use a dummy one as a tap).
Return to Upper Molar Immediate Implant, Trajectory Xin Wei, DDS, PhD, MS 1st edition 12/11/2018, last revision 12/23/2018