![]() |
![]() |
![]() |
炒锅式(非口袋式)牙槽窝
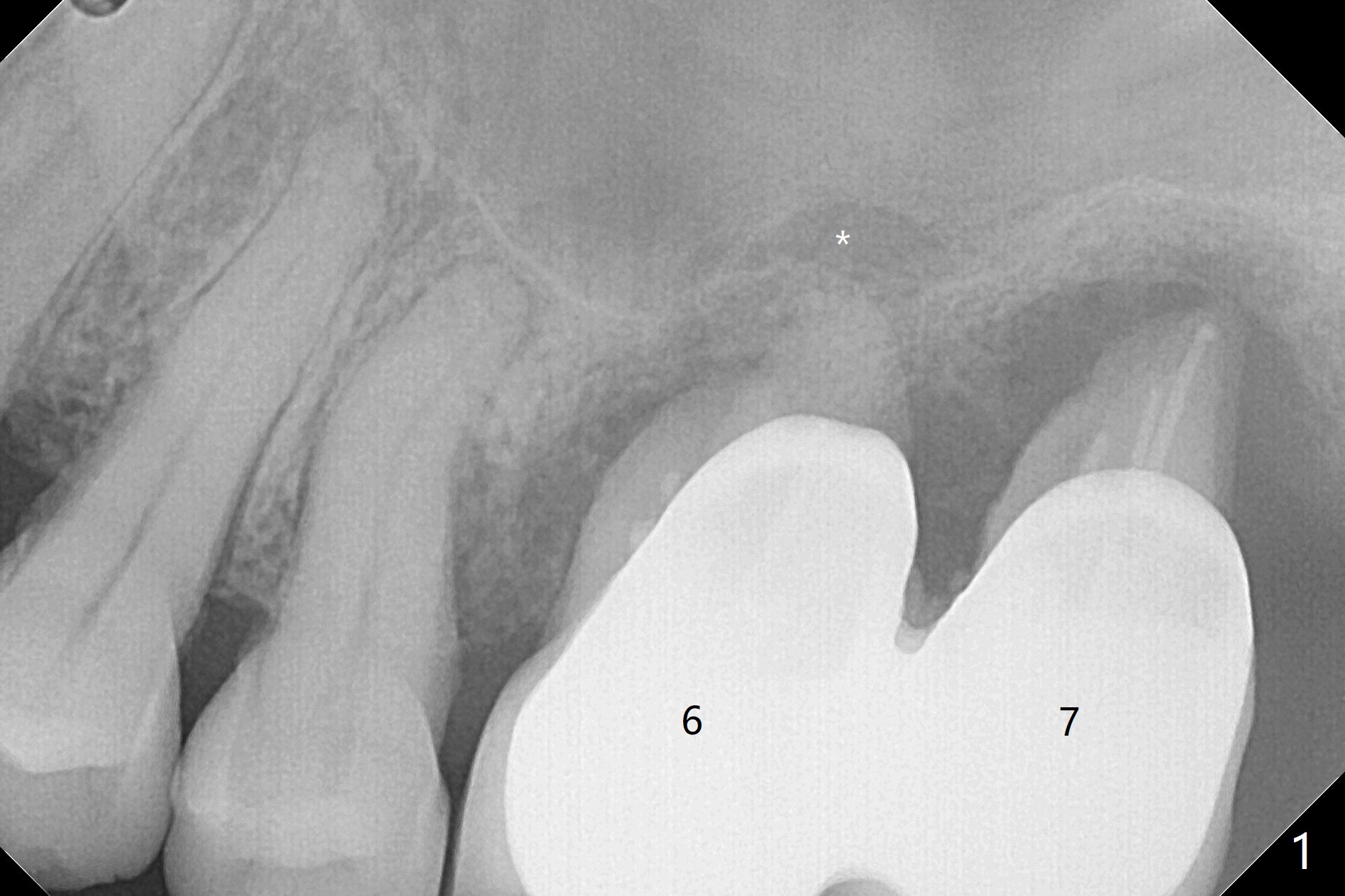
54岁女左上6,7连冠松动,牙槽窝大而敞开,似乎只有即刻植牙即刻修复能够固定粘性骨粉(抽血x2,图三),残余骨壁很薄(2-3 mm,图二),上颌窦内提升应该容易,使用Magic Sinus Lift Kit,其实6腭侧根可能已经进入上颌窦(图一:*)。两张PRF膜当中剪个洞,放置植体开口,然后插入基台,膜周围与牙槽窝开口接触,牙龈下1-2毫米,在膜下面再放置适当骨粉,膜表面放置湿纱布(防止树脂与膜粘合),然后制作临时牙冠。
Return to
Prevent Molar Periimplantitis (Protocols,
Table)
No
Caries
Clindamycin Metronidazole
No Antibiotic
Xin Wei,
DDS, PhD, MS 1st edition 12/07/2020, last revision
12/08/2020