![]() |
![]() |
![]() |
![]() |
Bone Repair with Platelet-Derived Growth Factor
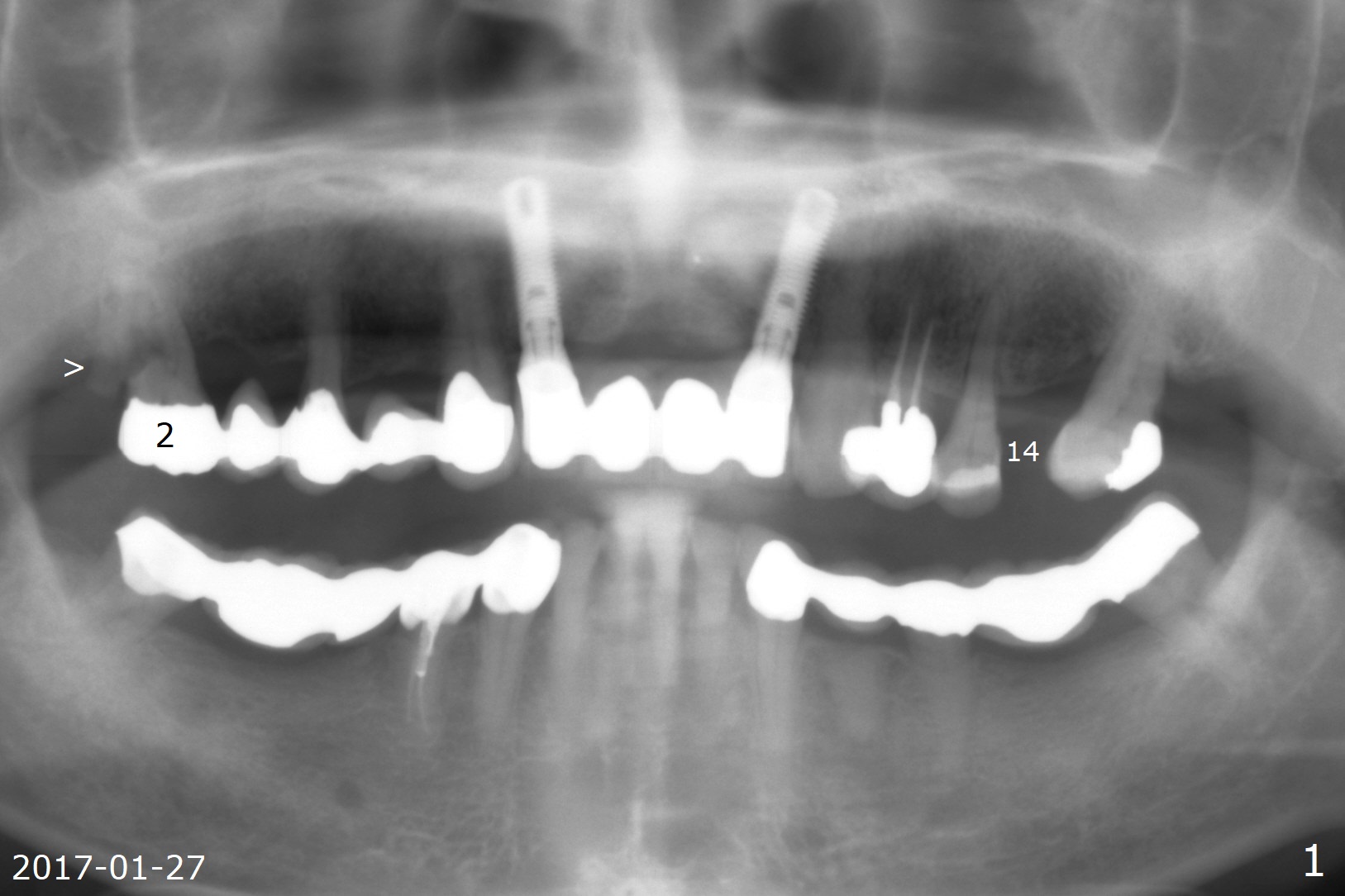
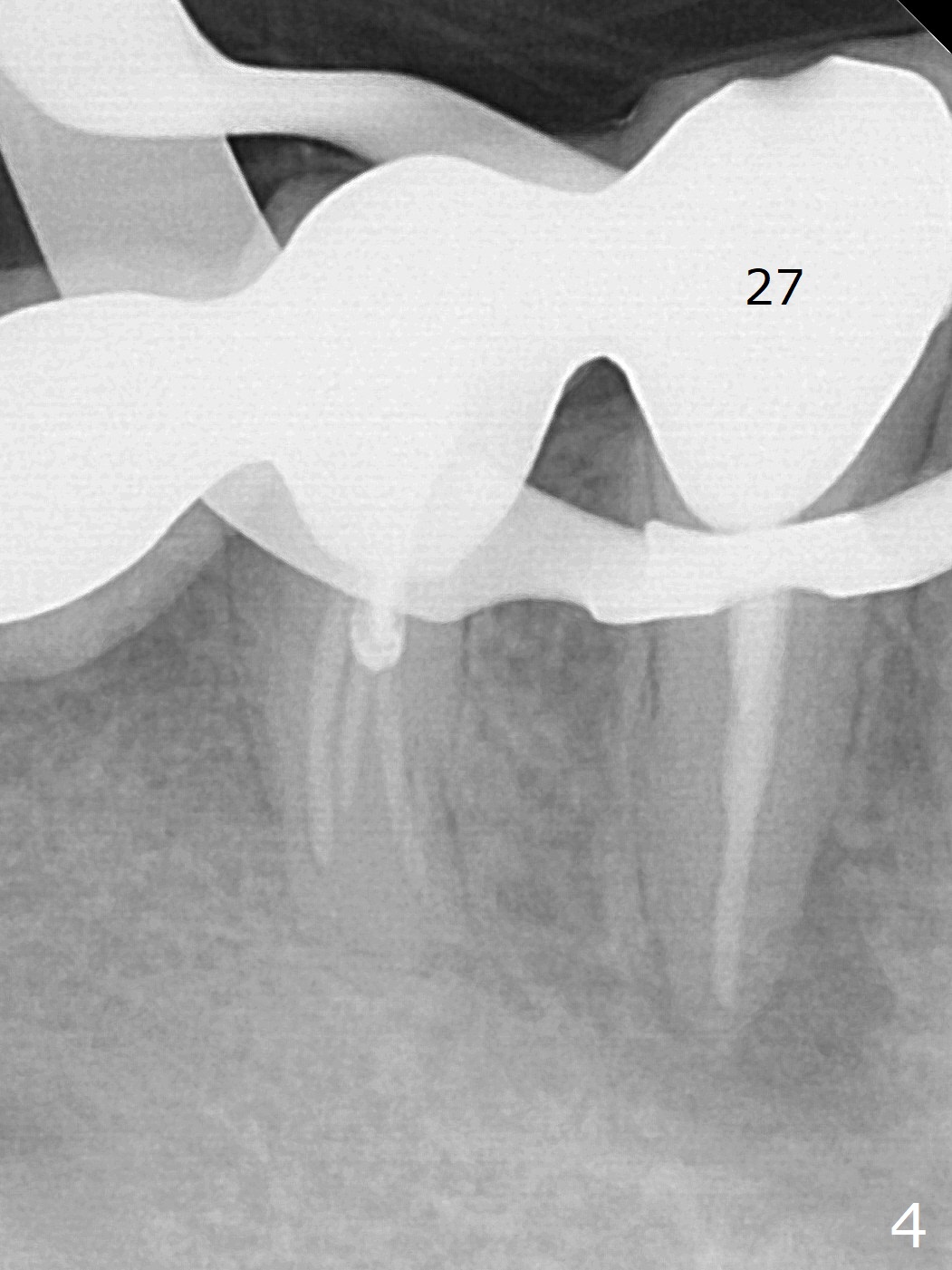
A 66-year-old man has asymptomatic distobuccal (DB) root fracture for ~ 3 years (Fig.1 (>) 2). After #14 implant with limited (M) ortho and 27 and 31 RCT (Fig.3,4), he agrees to have #2 and 3 implants. The tooth #2 has palatal fistula and is tender. Take preop photos. CT should reveal extensive bone loss. Use PRF/sticky bone or GEM21S (if venopuncture is hard) for repair. Save bone from #3 osteotomy for #2 bone graft. Use a special suction with trap after granulation tissue removal.
Return to
Prevent Molar Periimplantitis (Protocols,
Table)
No Deviation
Clindamycin
Ortho Cases
Plug
14
Xin Wei, DDS, PhD, MS 1st edition
03/21/2020, last revision
03/22/2020