![]() |
![]() |
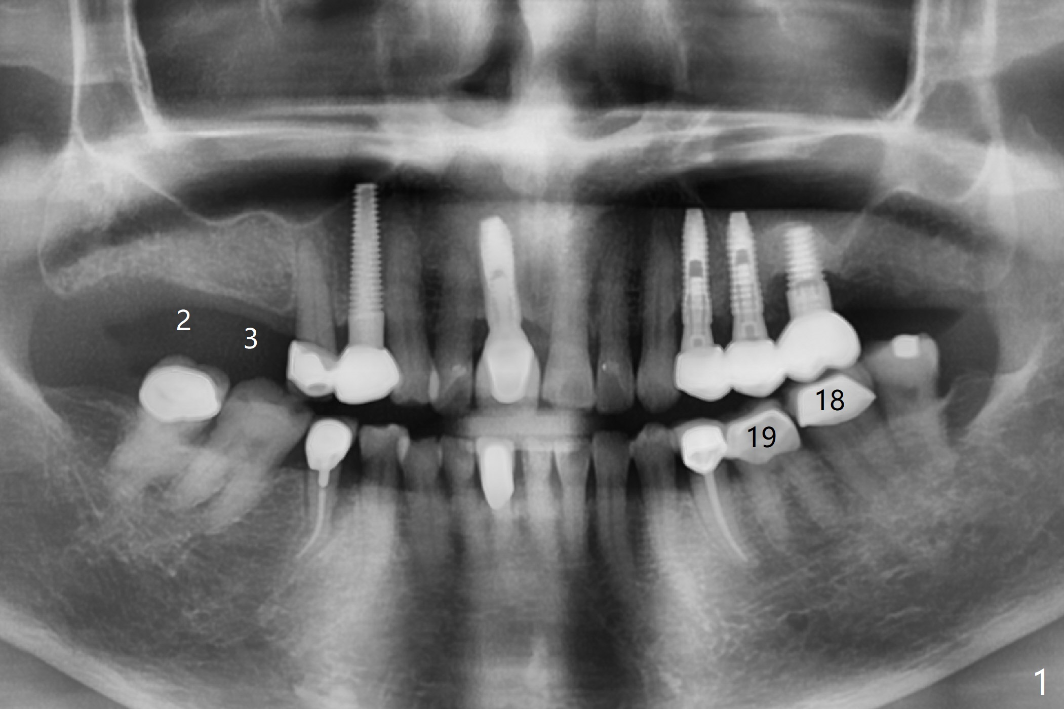
Two Molar Implants with Sinus Lift
A 74-year-old woman needs cementation at #18 and 19 because of missing teeth at #2 and 3 (Fig.1). It will be efficient to place 2 implants with guided surgery. A challenge is limited bone height (Fig.2); sinus lift is required. After finishing osteotomy, remove the guide for sinus lift using Sinus Lift Master kit. Return the guide and finish implant placement.
Upper Molar Immediate Implant, Armaments 手术 1 导板与提升
Xin Wei, DDS, PhD, MS 1st Version 03/18/2018, Last Update 02/13/2021