Sinus Lift for Stability M

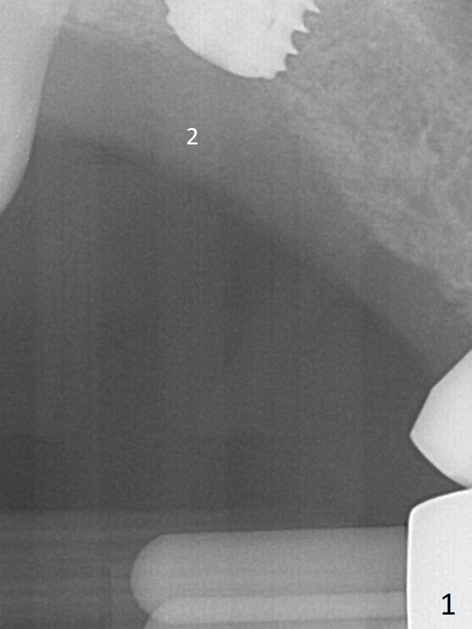
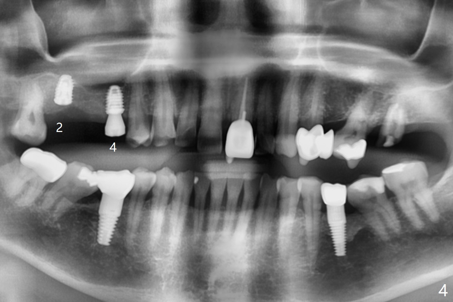
Eight months post socket preservation, the bone density at #2 feels low during osteotomy.  The site is underprep not only in depth, but also in diameter (4.0x7.3 mm with 10.5 mm offset), but a 5x7.3 mm implant is ~ 1 mm shy of the purposed depth.  Following 4.5x7.3 and 4.0x8.5 mm drills (without air leak), the implant reaches the depth, but with ~ 5 Ncm insertion torque (Fig.1).  Placement of the same sized implant at #4 (healed site) is smooth with satisfactory stability (~30 Ncm, Fig.2,3).  Ideally the site of #2 should have been prepared with sinus lift so that the apex of a longer implant would be engaged to the sinus floor for stability.  These two implants heal normally clinically and radiographically 1.5 months postop (Fig.4-6).  Bone surrounds the implant at #2 when it is uncovered 4 months postop (Fig.7).  The retainer at #4 looks short with large gingival embrasure (Fig.8 *) 6.5 months postop.  Finally the patient is ok with it because she does not like gingivectomy.  Provisional should have fabricated (Fig.9 light yellow curved lines) to create gingival scallops with secondary formation of papillae (arrows).

Return to Upper Molar Immediate Implant, Trajectory 15 Xin Wei, DDS, PhD, MS 1st edition 06/25/2019, last revision 01/08/2020