![]() |
![]() |
![]() |
![]() |
![]() |
![]() |
![]() |
![]() |
![]() |
Vertical Root Fracture
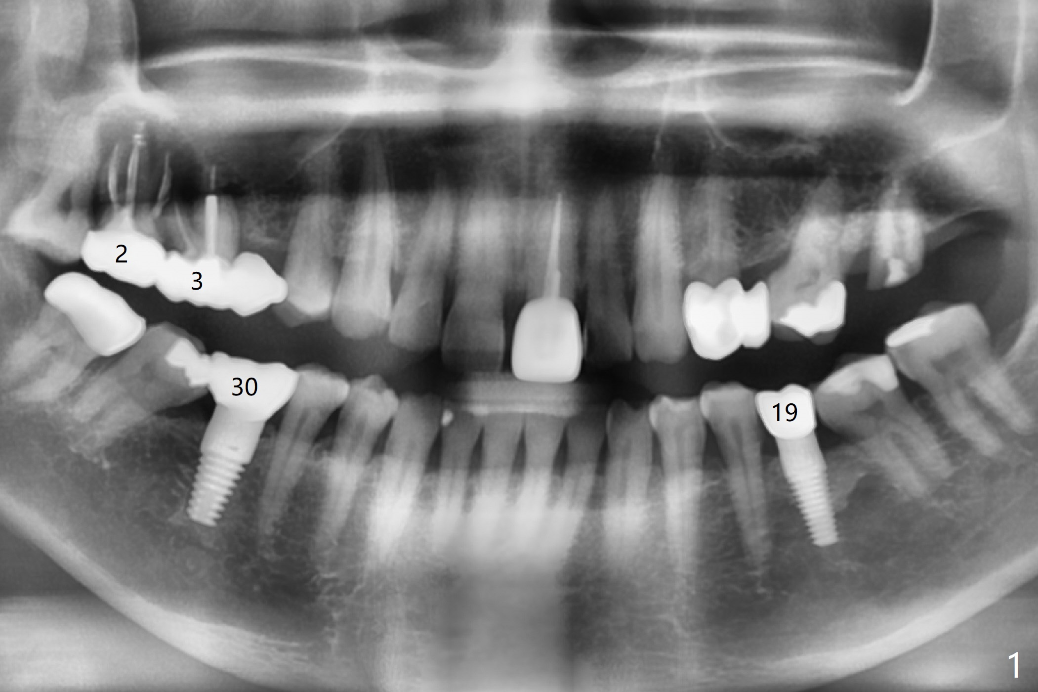
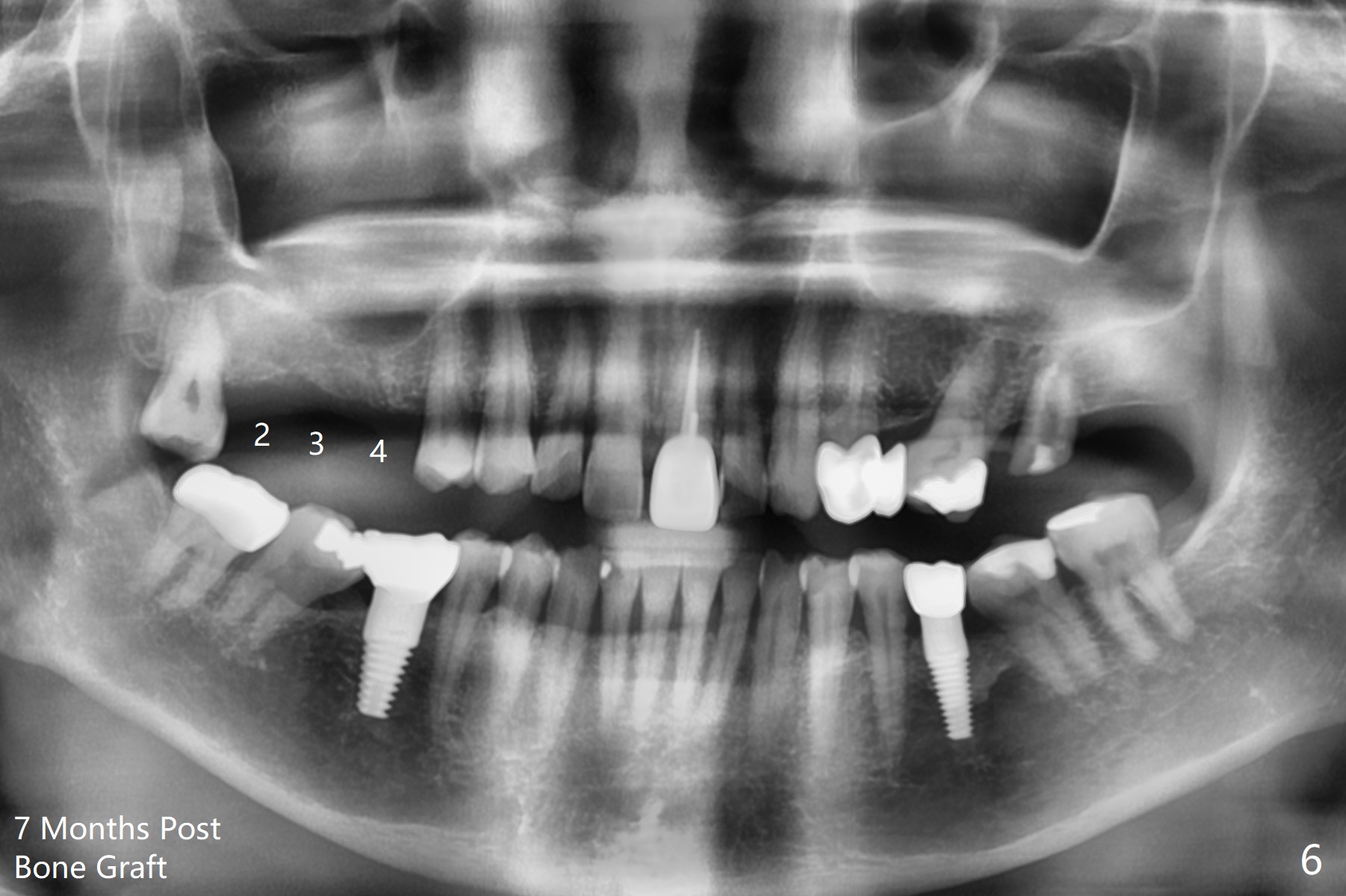
A 57-year-old woman returns with pain in the upper right quadrant (Fig.1,2). In fact the mesiobuccal root of the tooth #2 has vertical fracture. Although the socket destruction at #3 is not as extensive as that of #2, the socket of #3 has communication with the sinus. Prior to socket preservation, a piece of Osteogen plug is inserted at #3. PRF should be prepared for severe bone loss. In contrast there is no bone loss around the implants at #19 or #30 (Fig.1,3,4). Although the socket at #2 is slightly open 9 days postop, bone graft appears to be present (Fig.5). The bone at #2 and 3 seems to regenerate 7 months post socket preservation (Fig.6). Three short implants seem to be better than 2 implants for 3-unit FPD (Fig.7-9).
Return to
Upper
Molar Immediate Implant,
Trajectory
Xin Wei, DDS, PhD, MS 1st edition 10/24/2018, last revision 06/15/2019