![]() |
![]() |
![]() |
![]() |
||
![]() |
![]() |
![]() |
![]() |
||
从导板到徒手植入
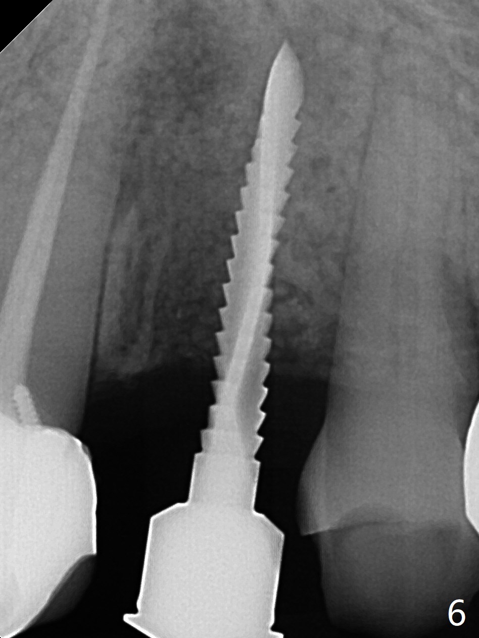
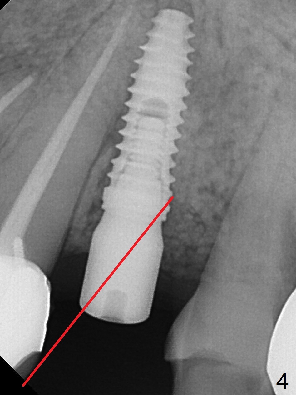
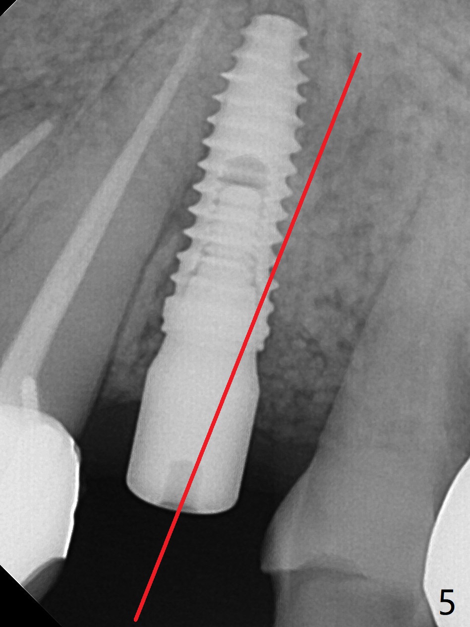
植骨后6个月牙槽窝愈合正常,角化龈和牙槽嵴都宽(图一),导板种植好像不需要切口。利用导板植入,但是离尖牙牙根很近(图二,三)。取出植体后,准备切开改变钻洞方向(图四,五),结果效果不错(图六,七),腭侧骨壁低,安置愈合基台,植骨(图八:*),覆盖胎盘膜,缝合。
Return to
Trajectory
Protect
Graft
Torque
101
Xin Wei,
DDS, PhD, MS 1st edition 05/11/2021, last revision
05/13/2021