![]() |
![]() |
![]() |
![]() |
![]() |
人工骨位点保留
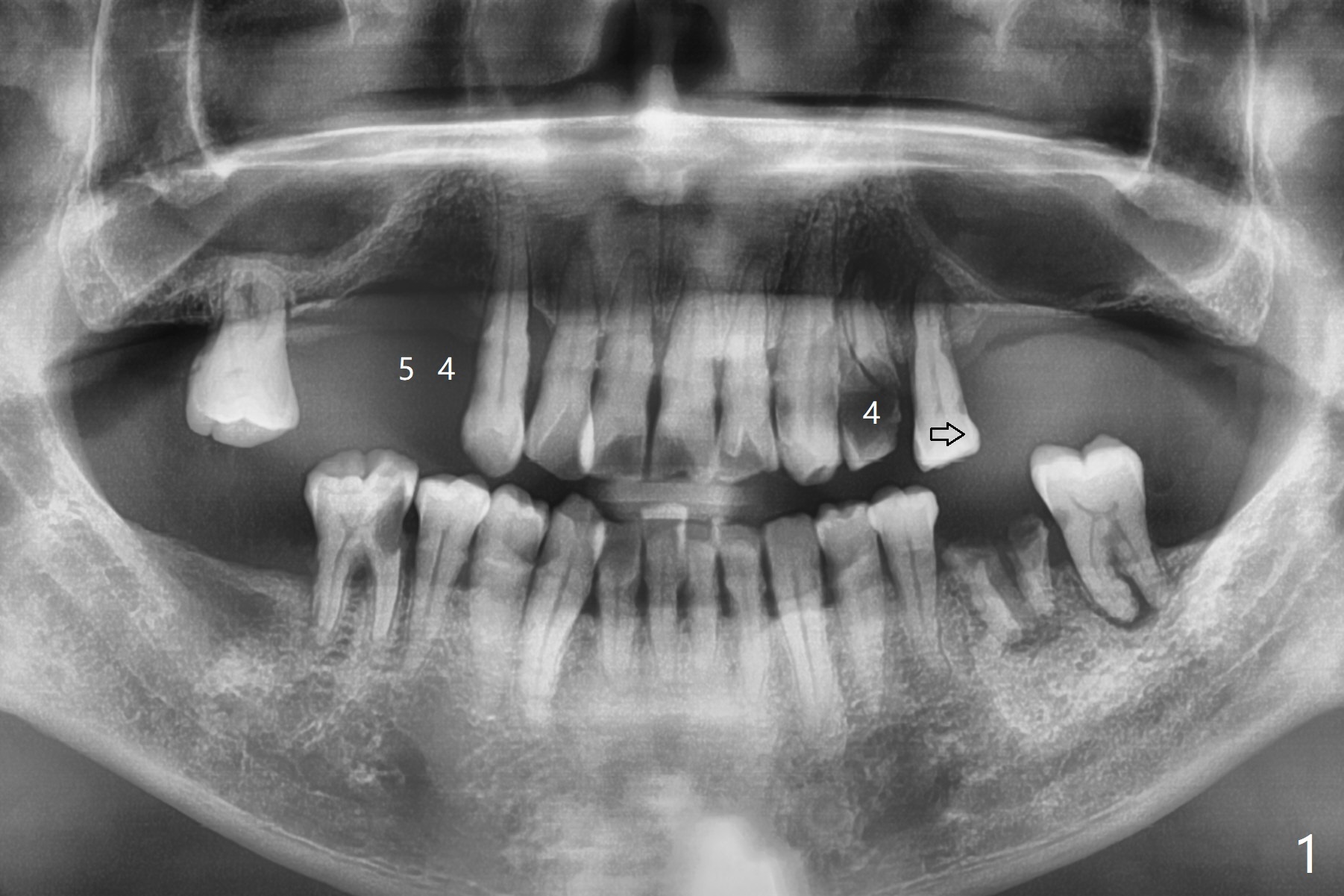
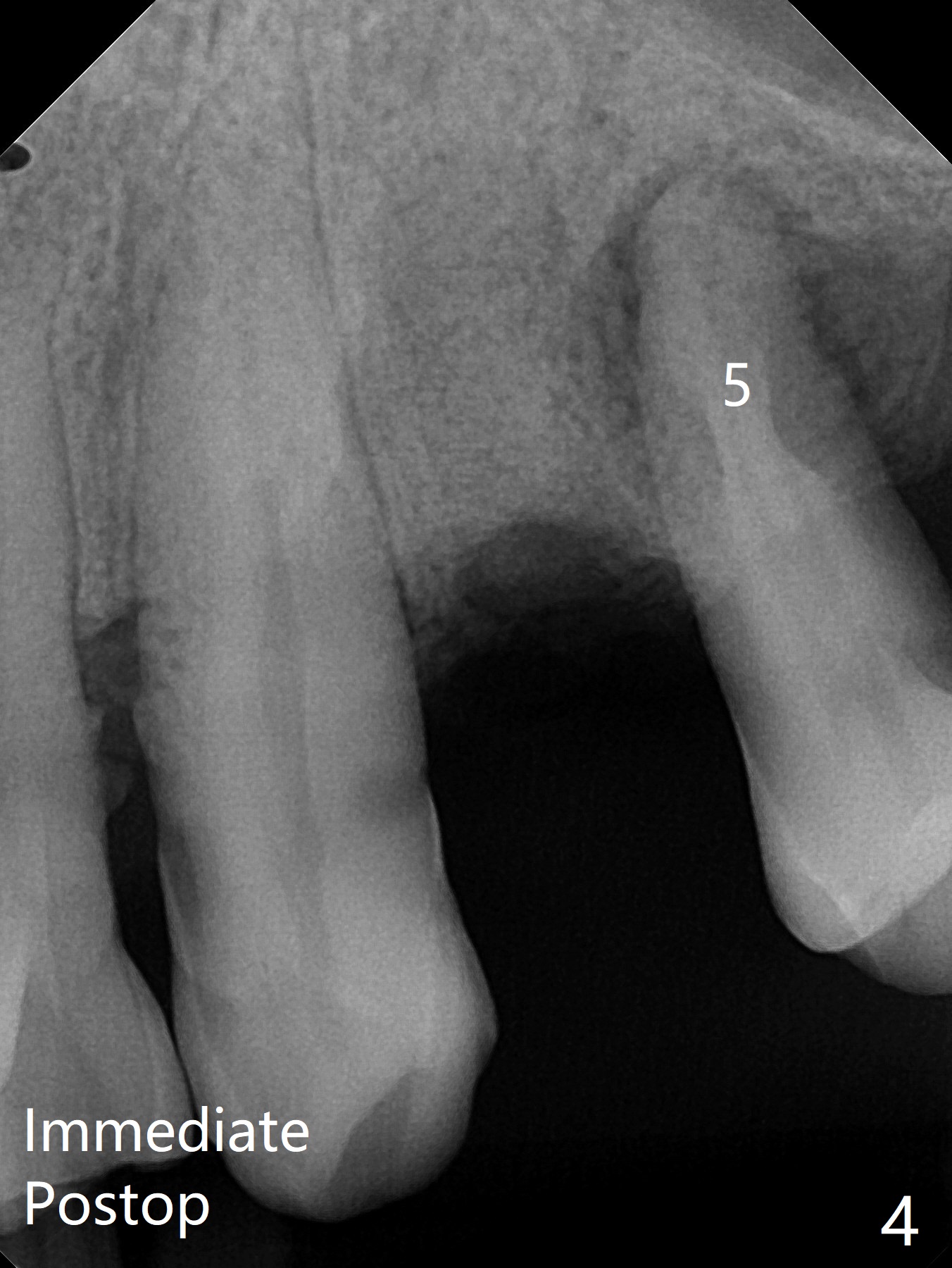
58岁男,吸烟,要求拔除断裂左上4(图一,二),邻牙(5)骨质吸收严重(图一,四),右上4,5拔除后骨质吸收(图一),所以左上4拔除(图三)位点保留(图四:人工骨,图五:GEM Cap)重要,尽管他准备做假牙。
今天手术缺点局麻不足,出血控制不好。明天一早同样病例,左上4拔除,使用两只局麻药(红,绿),准备小纱布塞入牙槽窝止血,植骨前才取出纱布,并且应用骨粉充填器。如果GEM bone matrix没有,使用另外一种人工骨。同样使用GEM Cap覆盖骨粉,利用牙周胶水固定。Return to No Caries Plug Xin Wei, DDS, PhD, MS 1st edition 11/06/2020, last revision 11/06/2020