![]() |
![]() |
![]() |
![]() |
软组织移植?
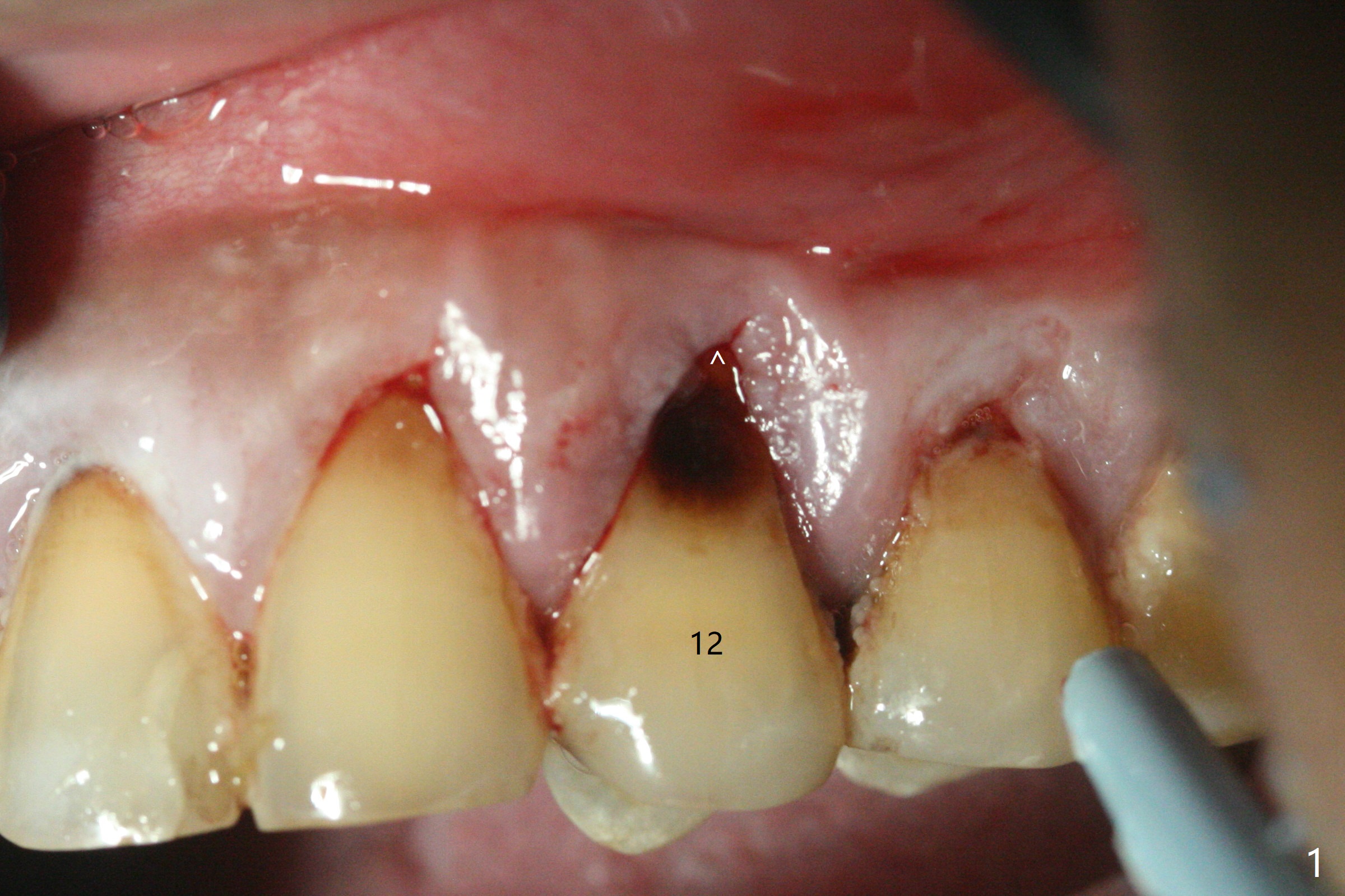
拔牙前发现患牙颊侧牙龈退缩(图一),需要软组织移植吗?拔牙后,在根尖用1,1.5,2.0 和3.0毫米骨凿打穿窦底,然后输入粘性骨粉(图四:*)。腭侧骨壁建立钻洞(有利于颊侧牙龈再生),忘了拍摄先锋钻根尖片,直接植入4x14毫米软组织水平报废植体,接近尖牙牙根(图二(黄虚线:窦底))。木已成舟,无法改变方向,又没有更长植体,只好植入同样大小植体(图三),即刻放置基台,固定骨粉和PRF膜,后者促进颊侧退缩牙龈再生,最后使用树脂敷料封闭伤口。
Return to
Protect
Graft
前磨牙即种
Xin Wei,
DDS, PhD, MS 1st edition 05/03/2021, last revision
05/03/2021