![]() |
![]() |
![]() |
Free
Hand Immediate Implant M
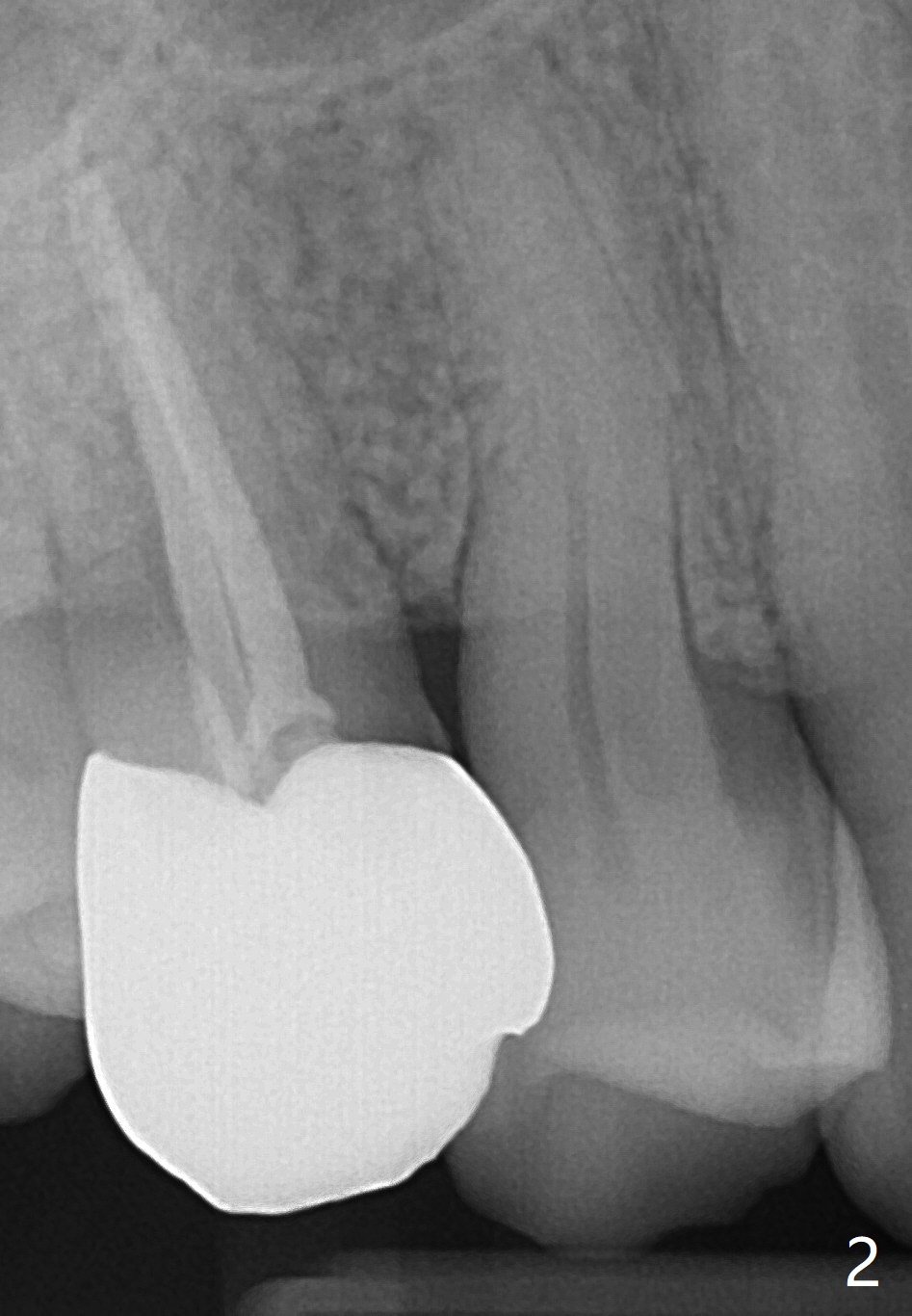
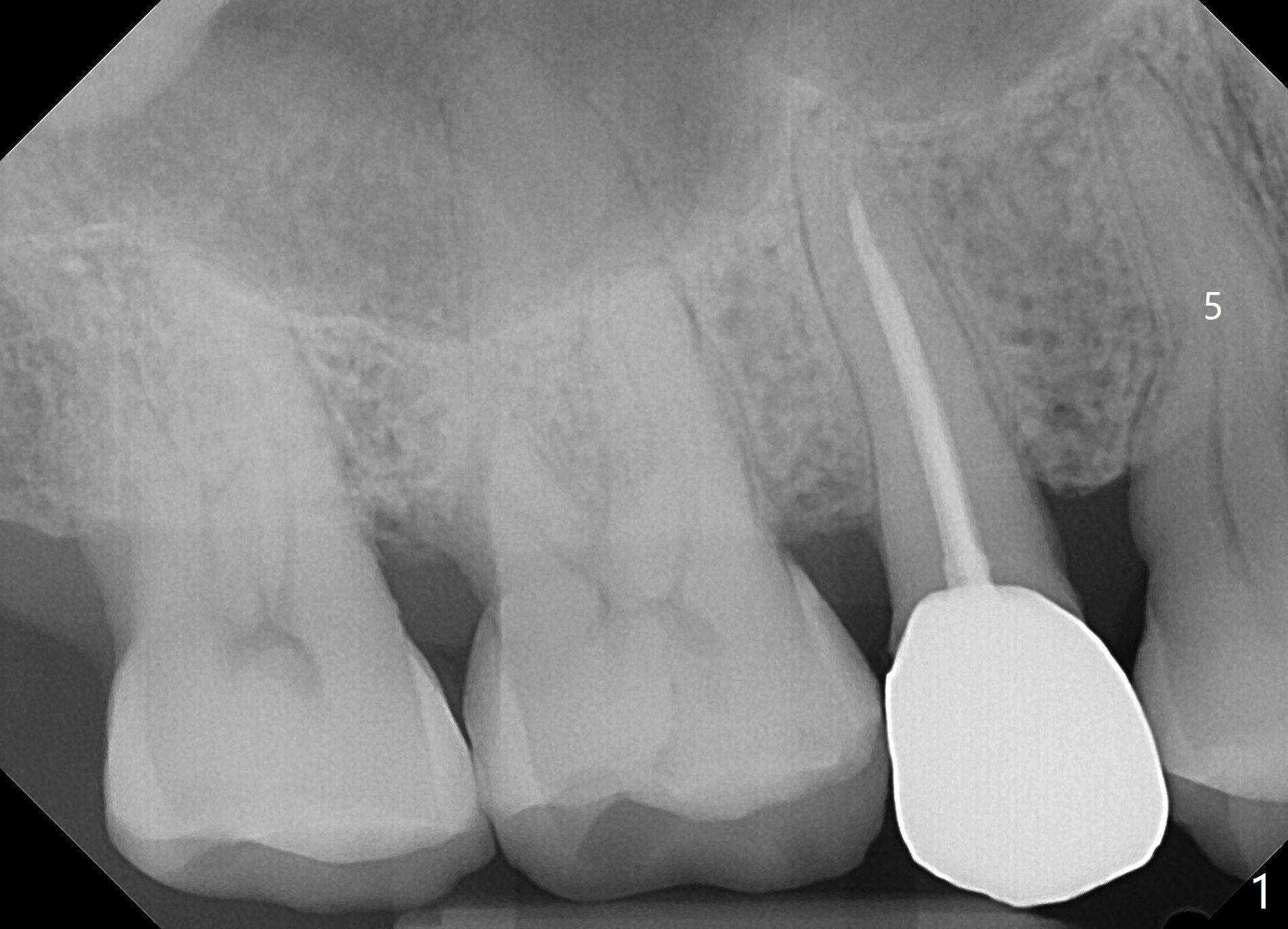
A 63-year-old man develops cold and hot sensitivity in the upper right 1st premolar after crack noise. The tooth #5 has a mesiodistal crack line (Fig.1-2). Two weeks later, the palatal cusp fractures subgingival. There is no time for guide (Fig.3). Since the root is curved and apparently difficult to extract, prepare surgical hand piece for socket shield.
Return to
Upper
Premolar Immediate Implant,
Trajectory,
Metronidazole,
31
Xin Wei, DDS, PhD, MS 1st edition
02/09/2019, last revision
01/12/2020