![]() |
![]() |
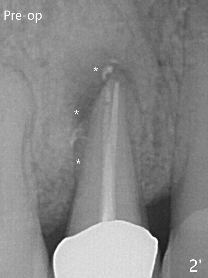
Before placement of a 4.5x17 mm tissue-level implant (Fig.2, (*: bone graft, as compared to preop bone defect (*))) and after osteotomy for bone-level one, PRF and mixture of autogenous bone and allograft are pushed from the socket through the buccal defect for repair (Fig.3 arrowheads).
Repair Last Next Xin Wei, DDS, PhD, MS 1st edition 08/09/2019, last revision 08/09/2019