![]() |
![]() |
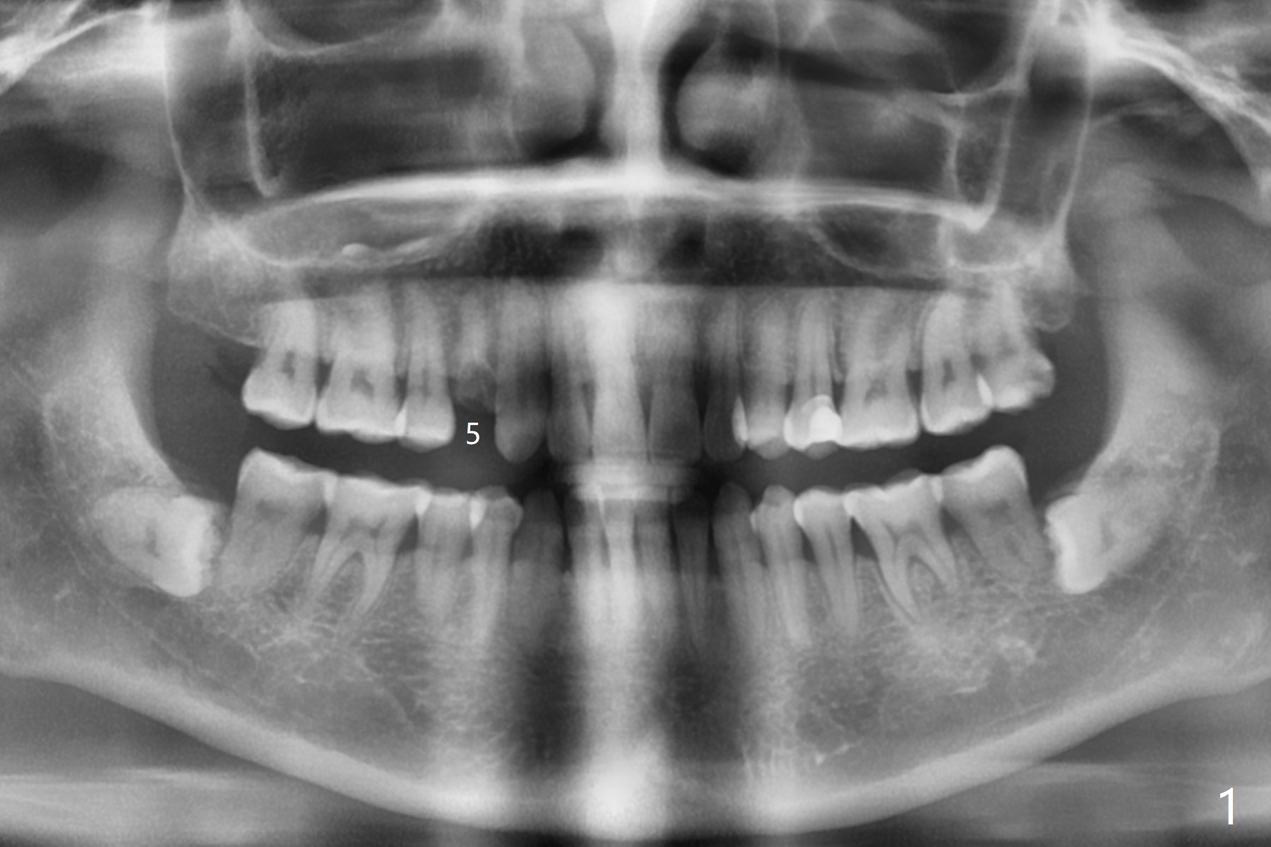
Long Bone
A 46-year-old woman requests implant after equigingival fracture at #5 (Fig.1). The long bone without bone loss makes it easy for immediate implant (Fig.2). PRF is not required.
Return to
Protect
Graft
No Antibiotic
手术
智齿拔除
Xin Wei,
DDS, PhD, MS 1st edition 06/26/2021, last revision
07/24/2021