![]() |
![]() |
![]() |
![]() |
![]() |
![]() |
![]() |
![]() |
![]() |
没有骨质缺失,不需要PRF或者血小板因子
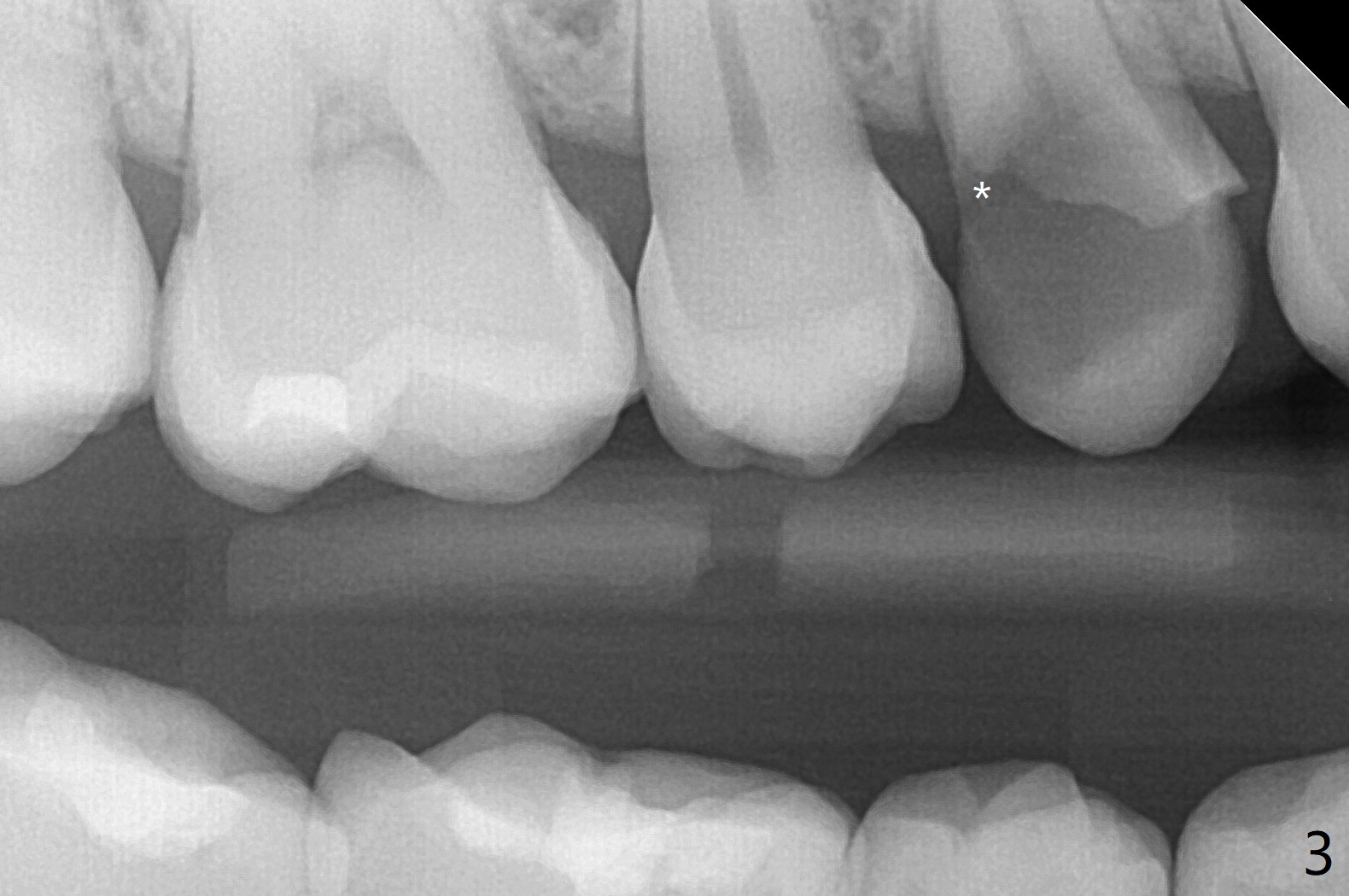
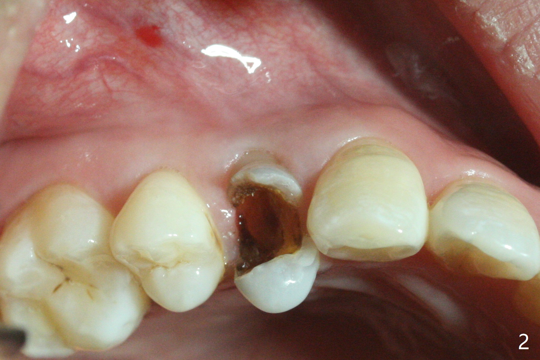
今天临床实践让我对植骨概念和操作有两方面突破,与大家分享讨论。PRF/sticky bone(粘性骨粉)以及血小板因子(成品)对软硬组织缺损修复重建无疑起到不可缺少作用。但是大多数拔牙病例并不是那么严重,放置骨粉和覆盖胶原膜足够了。为了避免费时的缝线固定胶原膜,介绍一种简易固定方法,助手可以做。31岁女不想保留严重龋坏右上4(图一至四,拍摄临床照片,与后期比较,但愿简易植骨不产生骨板塌陷),虽然术前根尖片显示根尖阴影(图四),术中没有根尖骨板缺失。估计没有严重骨板缺损,她又年轻,再生能力强,所以做简易植骨(异体骨,图五),也就是不需要PRF或者血小板因子,骨粉表面放置GEM CAP(9-12月吸收膜),由胶水固定(图六),在放置牙周敷料前,在胶原膜表面涂一层含有抗单纯疱疹病毒凡士林(图七),但愿敷料脱落时,不至于把胶原膜带下来。术后第六天,病人由于左上第二磨牙不适回来,说敷料脱落,没有不适,要求检查,其实膜也丢失(图八,九),骨粉好像挺稳定,没有做如何处理,尽管少量骨粉离开牙槽窝(<)。
Return to
No
Caries
Xin Wei,
DDS, PhD, MS 1st edition 01/21/2021, last revision
01/28/2021