![]() |
![]() |
![]() |
The Longest Narrow Bone-Level Implant
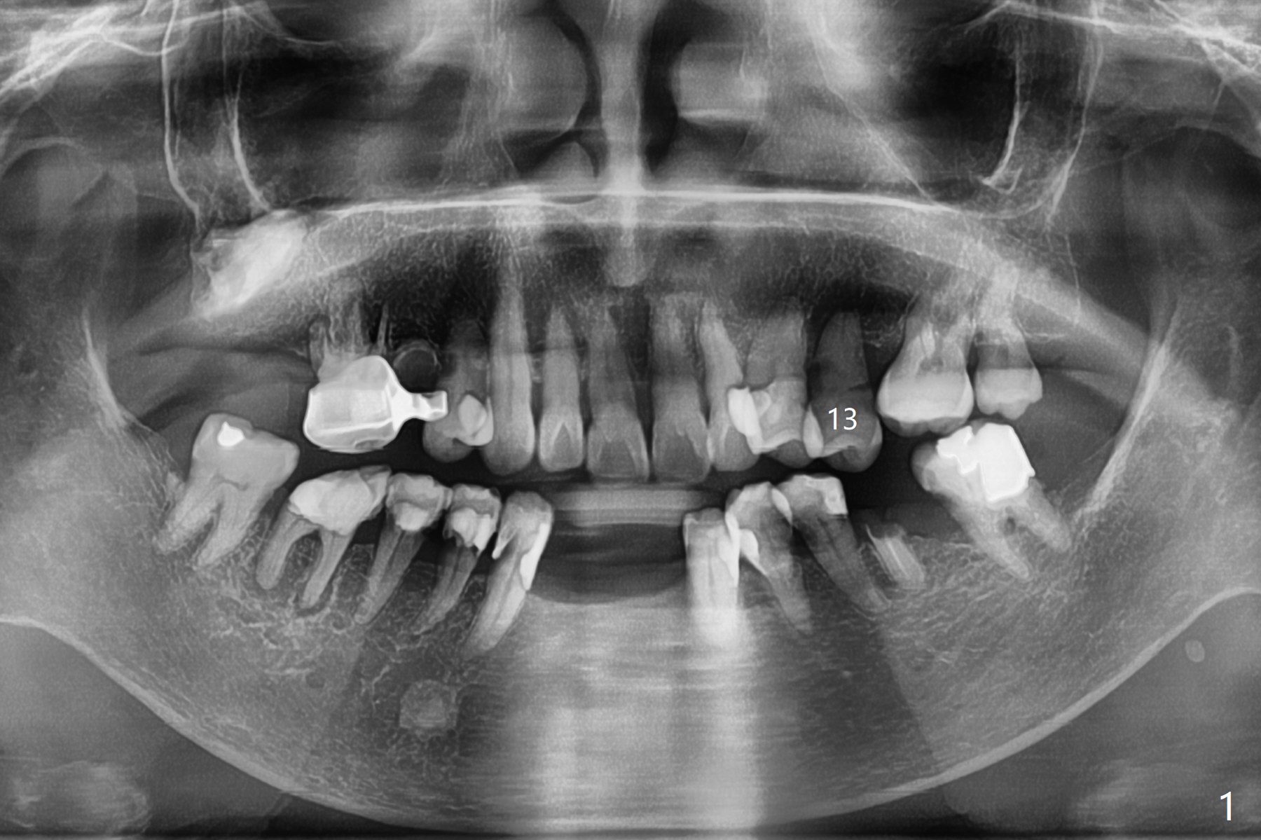
A 82-year-old woman without history of osteoporosis (regular exercises) has poor dentition (Fig.1). Her concern is a loose tooth at #13 (Fig.2). The bone available for implantation seems to be unlimited (Fig.3, taken 3 years earlier). The longest implant will be used to compensate for low bone density, if there is no osteoporosis. Since the bone loss is severe, a bone-level implant provides flexibility in choosing an abutment with various length of the cuff (including mill abutment).
Return to
Upper
Premolar Immediate Implant,
Armaments,
Clindamycin
Xin Wei, DDS, PhD, MS 1st edition 06/29/2018, last revision 07/09/2018