![]() |
![]() |
![]() |
![]() |
Osteogen Plug after Extraction
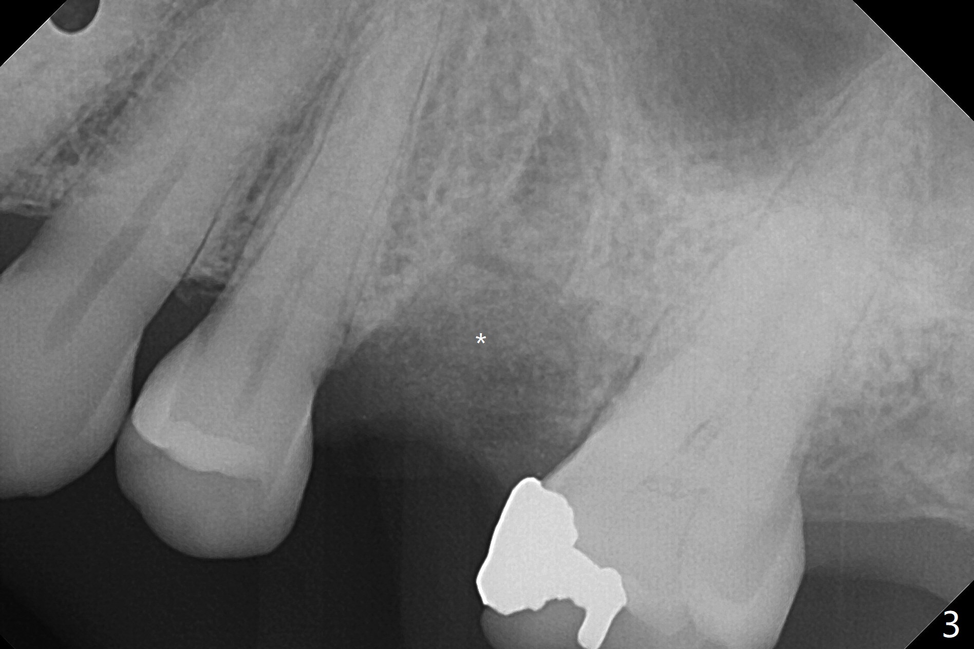
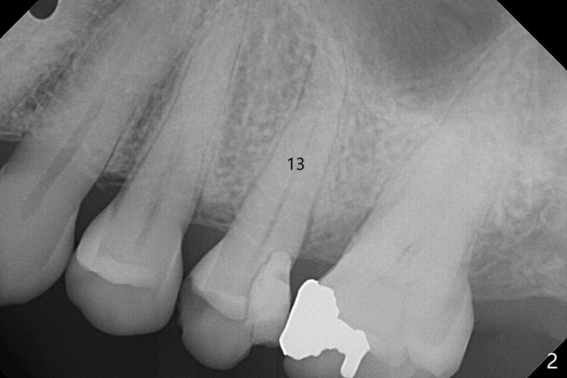
A 65-year-old woman cracks the tooth #13 (Fig.2) while the implants placed at #2 and 3 in her home country are osteointegrating (Fig.1). Extraction turns out to be surgical; after removing the curved root, the socket is large. Osteogen plug is placed for socket preservation due to finance (Fig.3 *). While the socket has healed, the buccal plate has collapsed 2 months postop (Fig.4).
Return to
Upper Premolar
Immediate Implant,
Trajectory II
Xin Wei, DDS, PhD, MS 1st edition
07/29/2019, last revision
09/30/2019