![]() |
![]() |
![]() |
![]() |
![]() |
Socket Preservation for Ortho
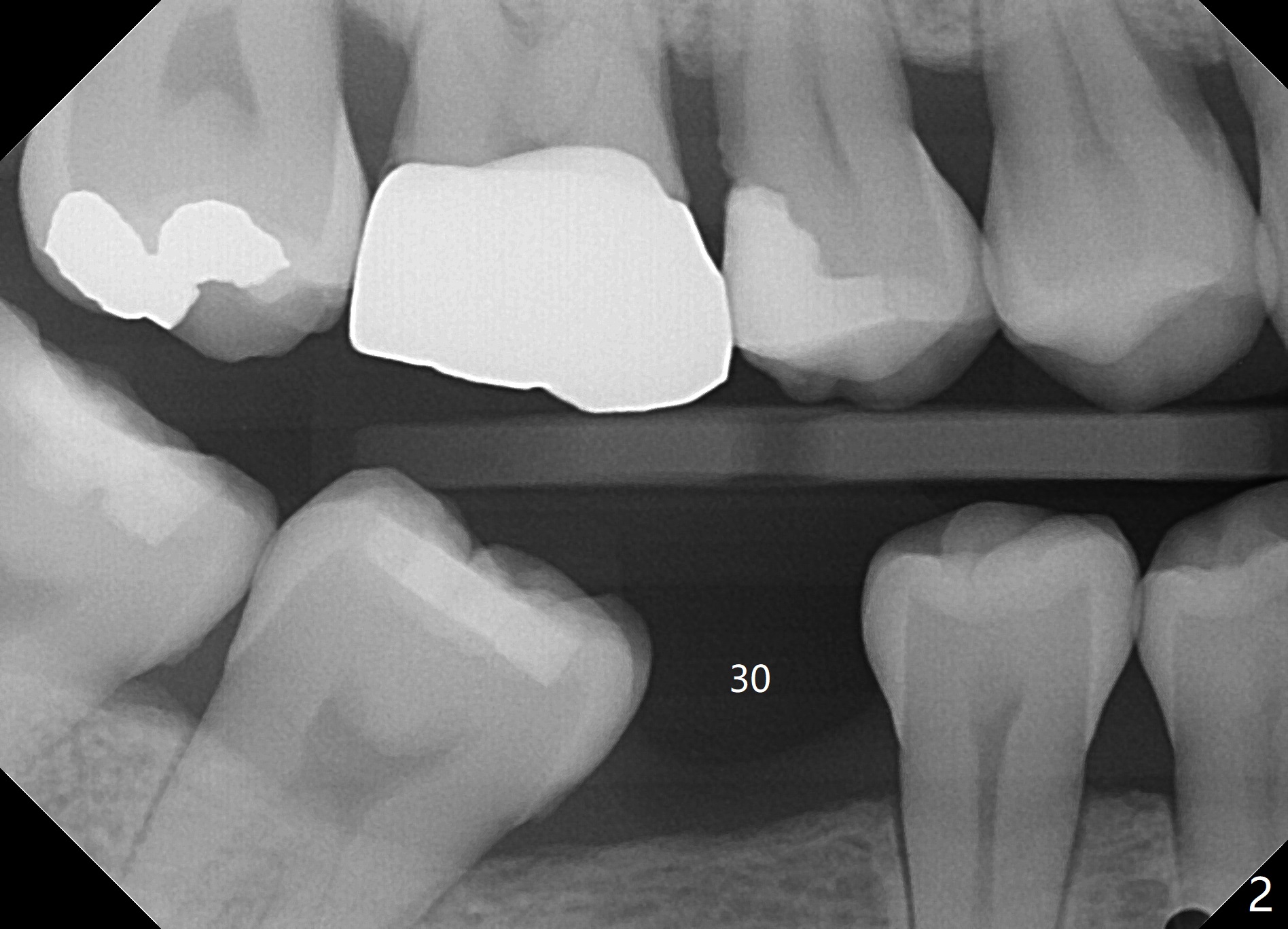
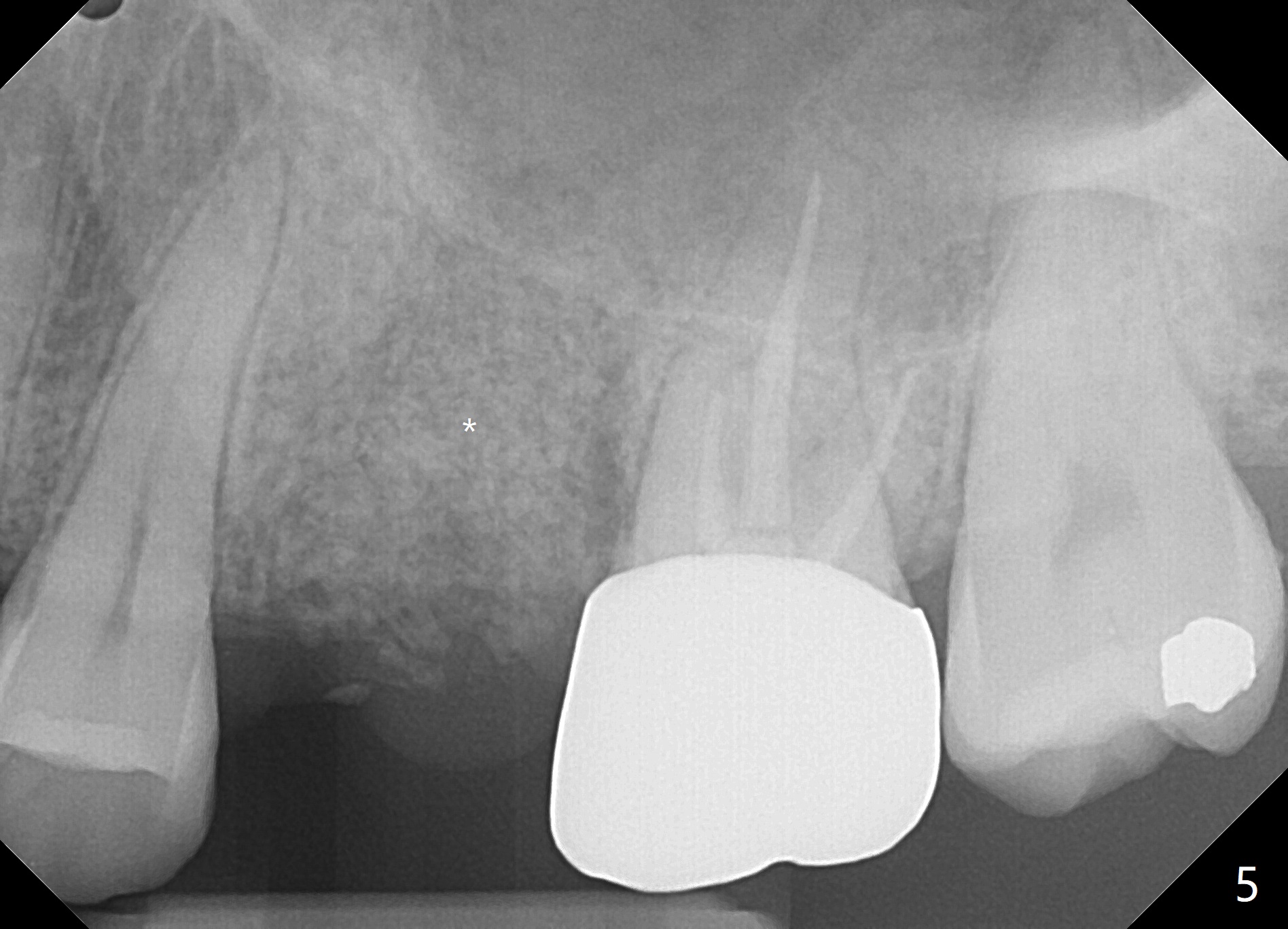
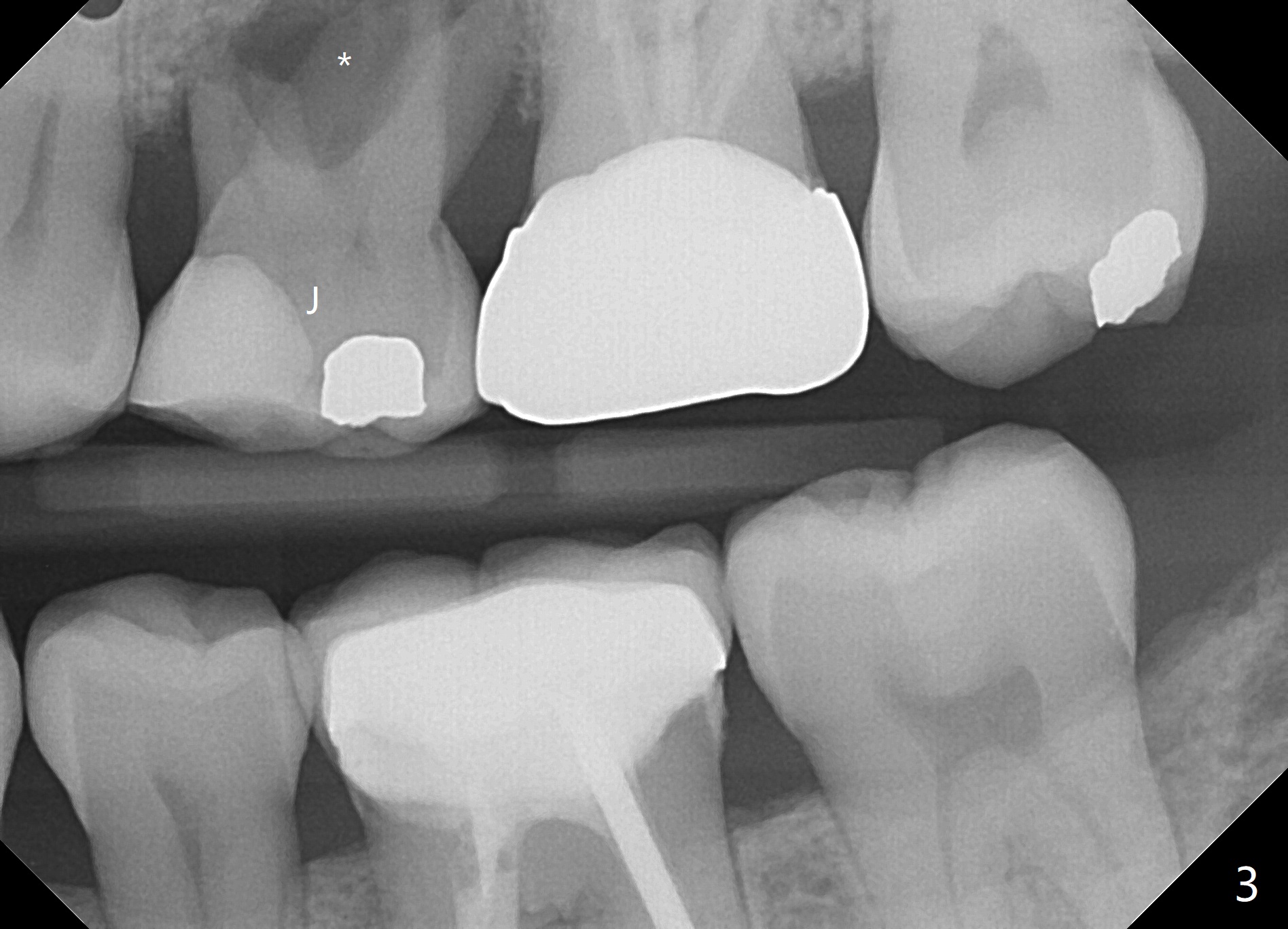
A 42-year-old woman requests extraction of the upper left 2nd primary molar with abscess (Fig.1,3,4). To avoid implants (for #30 as well in Fig.2) and improves cosmetics (anterior crowding), she chooses orthodontics with extraction of 2 more teeth in the other 2 quadrants. It seems necessary to have socket preservation so that the neighboring teeth have the bone to move to (Fig.5 without buccal plate collapse). In fact the coronal half of the buccal plate is resorbed. The bone regeneration is also important in case she changes her mind and ends up needing an implant. Return to Trajectory Xin Wei, DDS, PhD, MS 1st edition 05/17/2019, last revision 05/19/2019