![]() |
![]() |
![]() |
![]() |
![]() |
![]() |
Distopalatal Entry
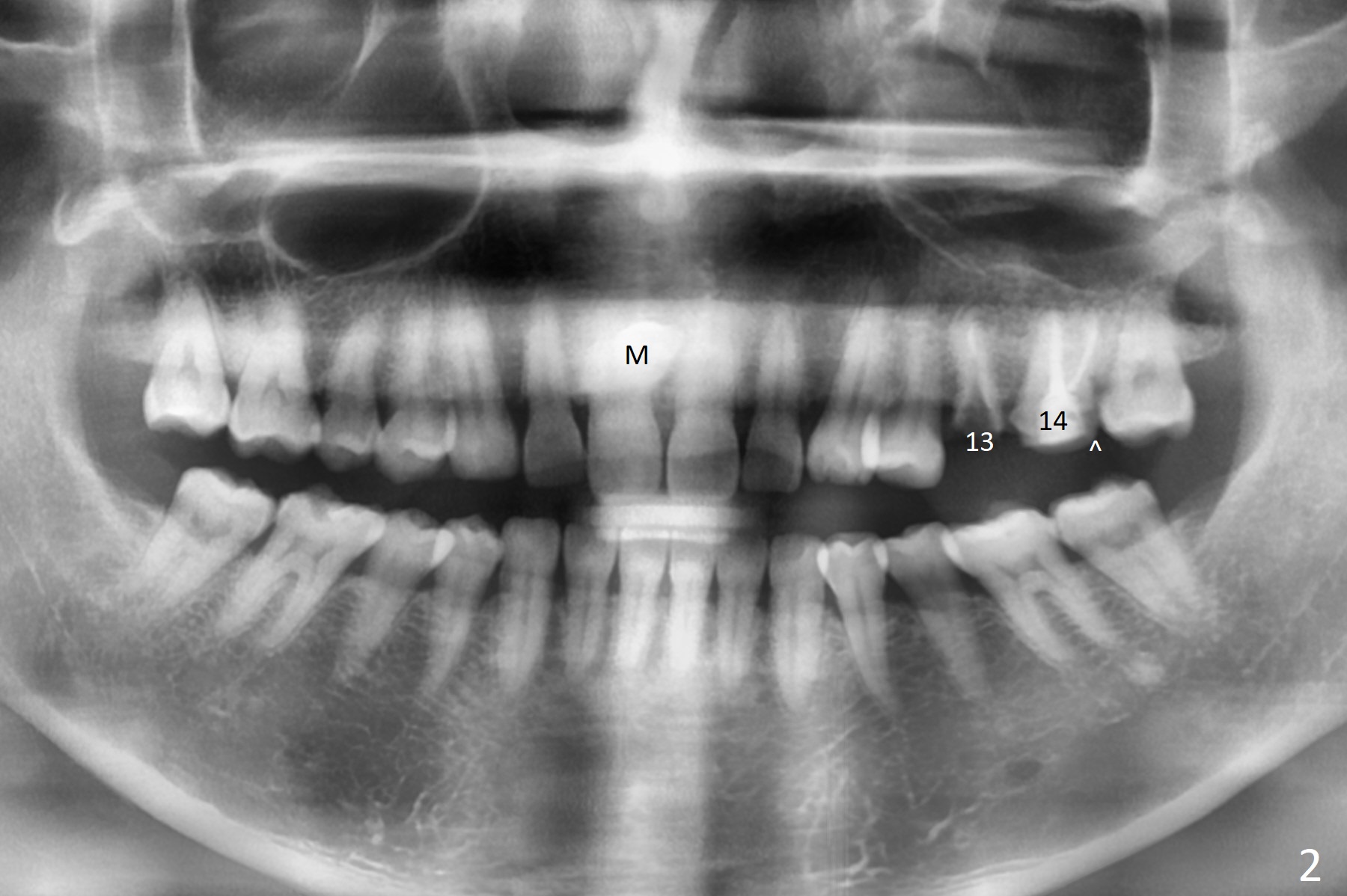
A 44-year-old woman used to have splinted crowns at #13 and 14 (Fig.1). Their dislodgement is due to residual roots at #13 and distal caries at #14 (Fig.2 ^). To avoid the distally curved apex of #12 and to have ideal trajectory of an IBS implant (Fig.4), osteotomy will be initiated in the distopalatal slope of the socket (Fig.3 arrowheads). The patient wants to correct the tooth #8 with rotation (Fig.5), which is due to a mesiodens (Fig.1,2 M). It will be accessed palatal (Fig.5 P). In fact there is percussion at #14 associated with MB2 (Fig.6 arrowheads) and PARL (*).
Return to Upper Premolar Immediate Implant, Trajectory II, Clindamycin Xin Wei, DDS, PhD, MS 1st edition 06/29/2019, last revision 09/14/2019