![]() |
![]() |
![]() |
![]() |
![]() |
![]() |
![]() |
|
Over Placement
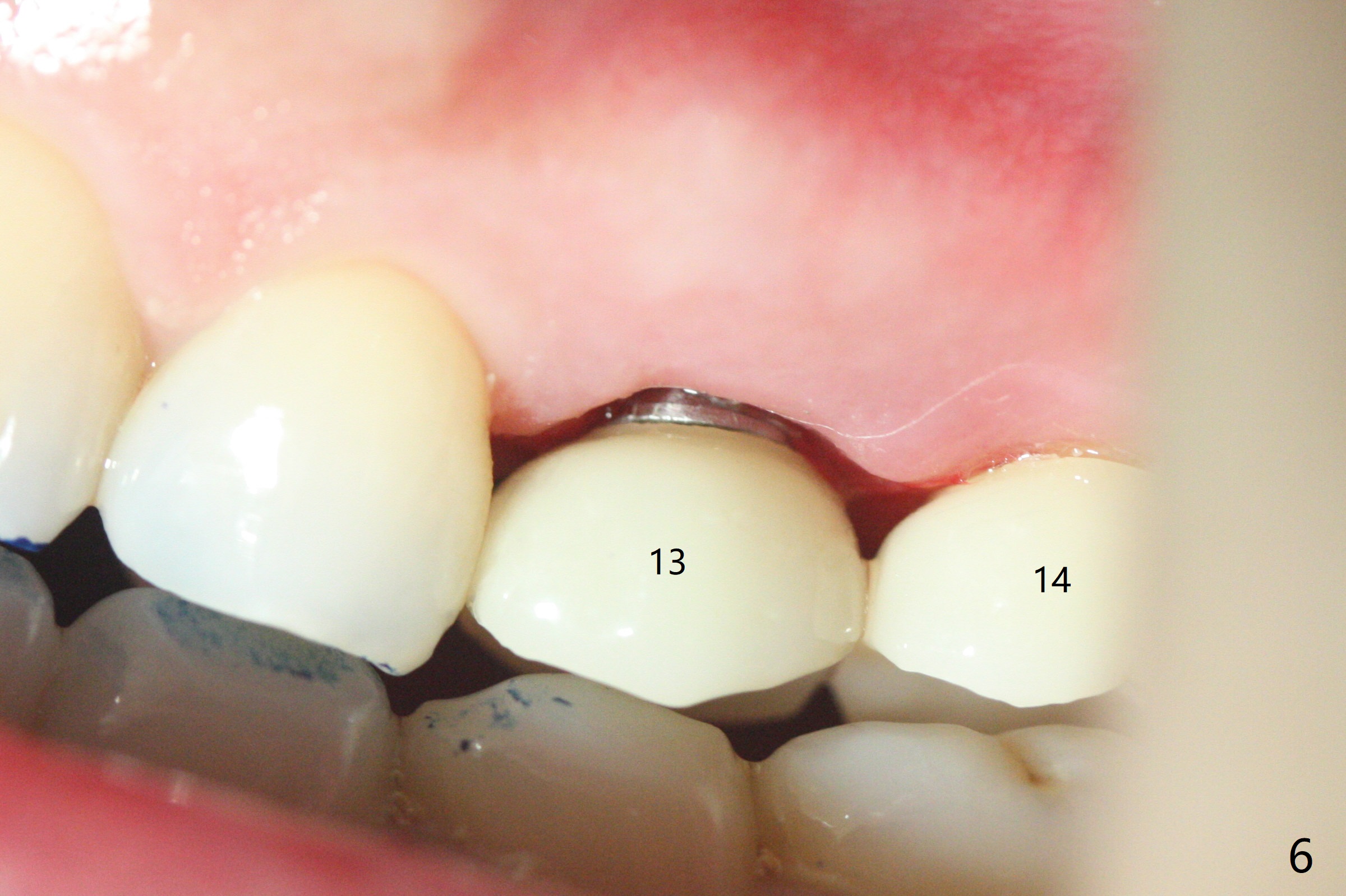
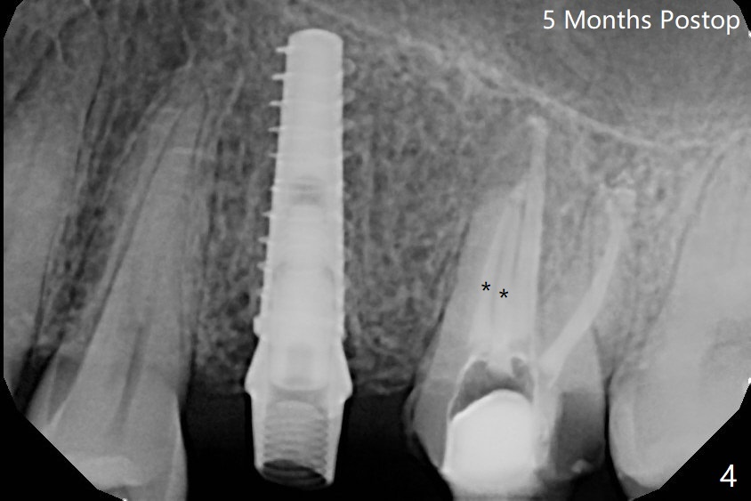
Due to misinterpretation of drill sequence, osteotomy is overprepared in depth (1.5 to 3 mm). When a 4x11 mm dummy implant is placed with > 50 Ncm (Fig.1,2), over placement is ignored. A 4x13 mm final implant is placed with fairly good torque, but it is deeper than expected. When it is backed up, primary stability is lost, in spite of placement of allograft in the osteotomy. Final torque is 15 Ncm. When a 4.5x4(2) mm abutment is placed, the underlying implant turns (Fig.3). A splinted provisional is fabricated at #13 and 14. RCT is retreated 5 months postop (Fig.4 *). An abutment with longer cuff is placed before impression (8.5 months postop, Fig.5). When the crowns of #13 and 14 are delivered, the former looks short and noncosmetic, although the gingiva will grow downward to close the gap (Fig.6). Ideally the gap should be closed with porcelain with overhang (Fig.7).
Return to Upper Premolar Immediate Implant, Trajectory II Xin Wei, DDS, PhD, MS 1st edition 08/23/2019, last revision 06/04/2020