![]() |
![]() |
![]() |
Reach Depth First with Guide
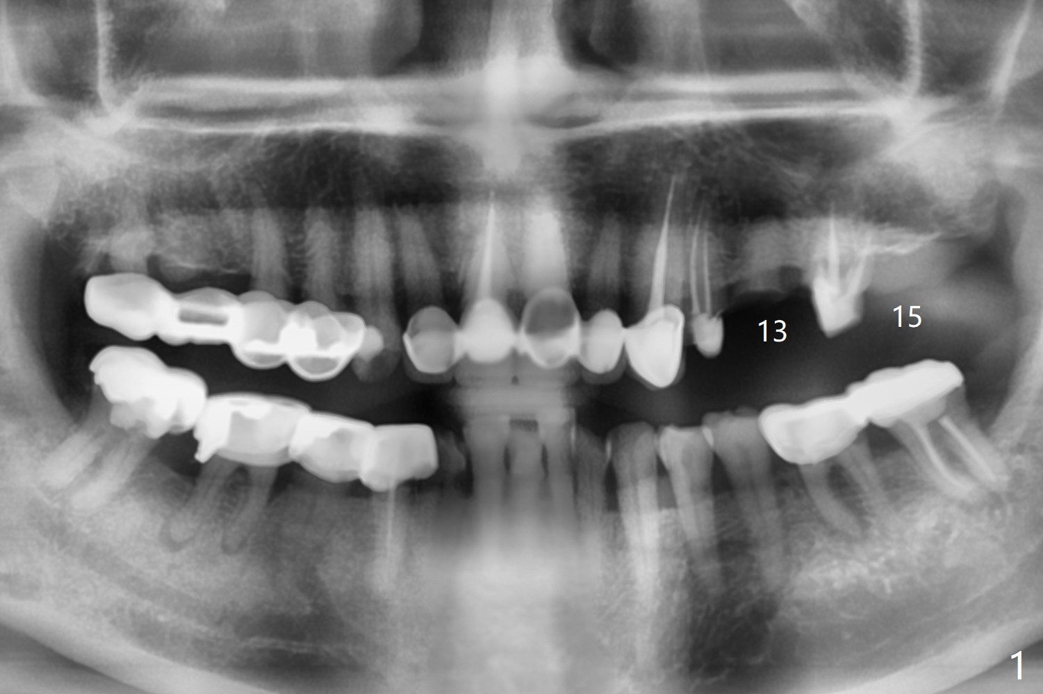
A 74-year-old man with multiple crowns and FPD needs implants at #13 and 15 (Fig.1). To avoid drills or implant (particularly immediate one) touching the neighboring root, 2.2 mm drill will reach the depth (sequentially) first and take segmental panoramic X-ray. Then return to the original sequence: diameter first and depth second to avoid bone necrosis.
Return to
Upper
Premolar
Molar Immediate Implant,
Trajectory,
Clindamycin
Xin Wei, DDS, PhD, MS 1st edition
05/19/2019, last revision
06/04/2019