![]() |
![]() |
![]() |
Palatal Socket Placement
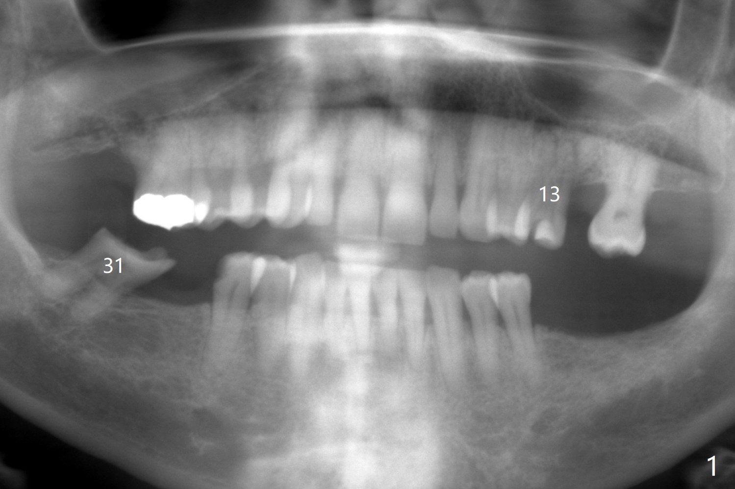
A 59-year-old woman has lost several teeth. The remaining ones are under stress (over-loaded), either severely worn (Fig.1 #31) or fractured (#13). The latter has 2 sockets with severe infection (Fig.2, IS implant). Start osteotomy in the palatal socket. Since the bone height is 11 mm (Fig.3), place PRF and bone graft before a 4x11 mm implant.
Return to
Upper Premolar
Immediate Implant,
Armaments,
No Antibiotic
Xin Wei, DDS, PhD, MS 1st edition 07/12/2018, last revision 07/12/2018