![]() |
![]() |
![]() |
![]() |
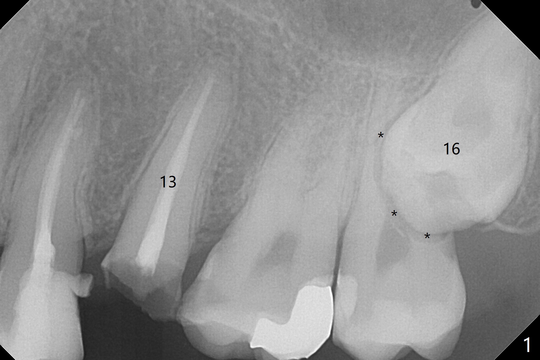
Tooth Fracture Related to Malocclusion
A 27-year-old man returns to clinic with #13 subgingival fracture, which is associated with Class III malocclusion and anterior open bite (Fig.1). Both #1 and 16 seem to be buccal to the 2nd molars, causing root resorption (Fig.1 *). Since the root of the 2nd premolar tilts distal, osteotomy for an implant will be in the mesiopalatal aspect of the extraction socket (Fig.2,3 red). Following implant placement, #16 will be extracted (Fig.3 black), laying foundation to distalize and intrude #14 and 15 to make space for #13 implant crown and reduce anterior open bite and posterior tooth overloading (Fig.4 arrow). No Deviation Clindamycin Xin Wei, DDS, PhD, MS 1st edition 08/25/2020, last revision 09/08/2020