![]() |
![]() |
![]() |
![]() |
![]() |
1 or 2 Implants? I
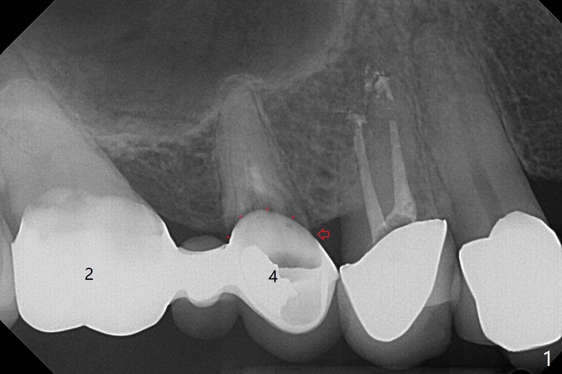
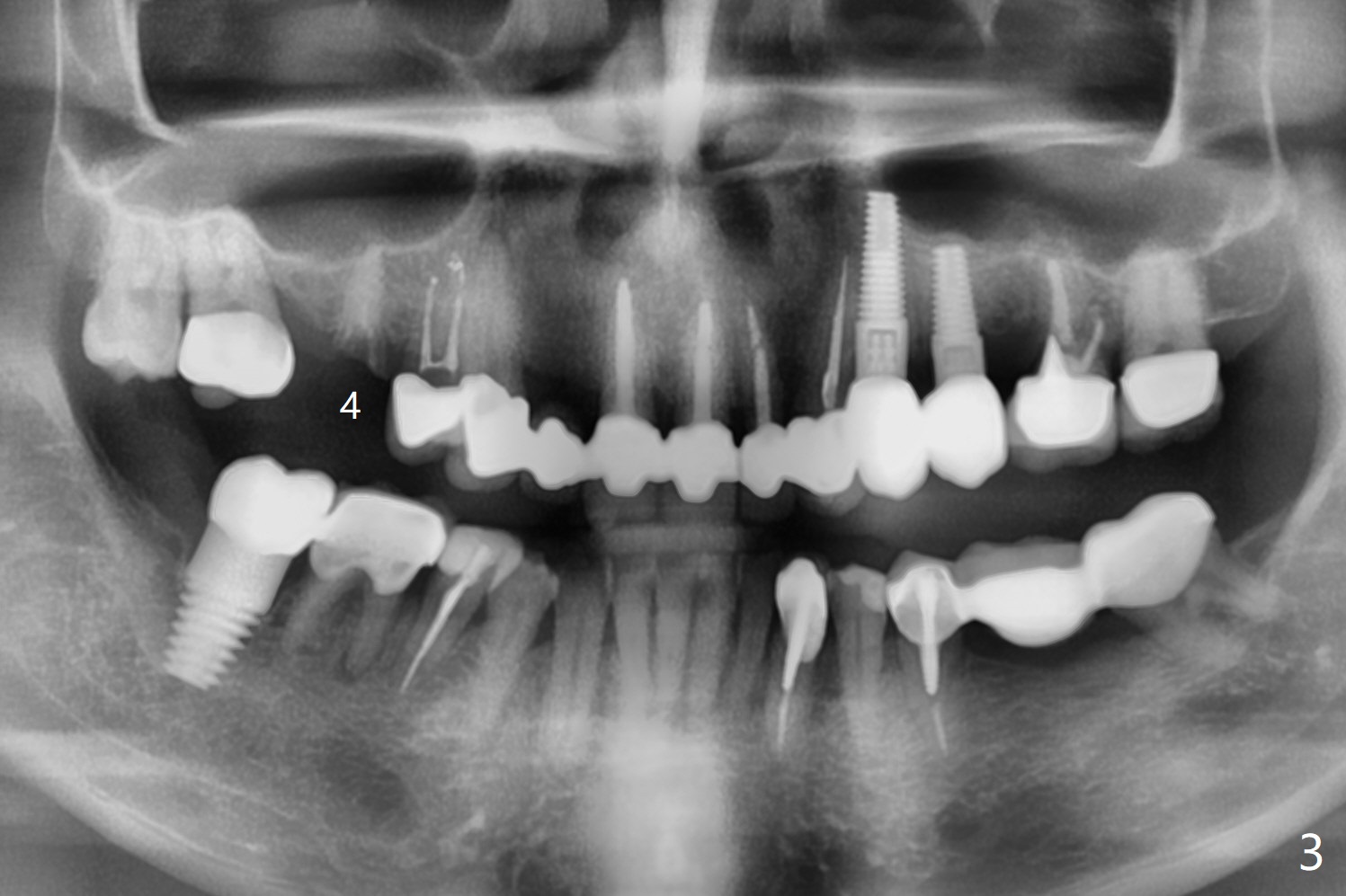
A 56-year-old man complains of food impaction under UR FPD (fixed partial denture, bridge). Floss goes through between #4 abutment and retainer (Fig.1 red arrow and *). After sectioning the FPD as indicated by black dashed line in Fig.2,3, try to initiate osteotomy at #3 with 1.2 and 1.5 mm drills for 5 mm (bone height) and 1.0 and 1.5 mm Tatum micro-osteotomes for sinus lift and place a 2x8.5 mm IS mini-implant. If it is feasible, place a 4x14 mm tissue-level implant slightly mesial at #4 (Fig.5). If not, place a larger one (5.0 mm) slightly distal for a cantilever FPD (Fig.4).
Upper Premolar Immediate Implant
No Deviation Metronidazole
12
13
31
Surgery
Molar 1-Piece
Implant
Xin Wei, DDS, PhD, MS 1st edition
02/08/2020, last revision
06/16/2020