![]() |
![]() |
![]() |
![]() |
No Guide
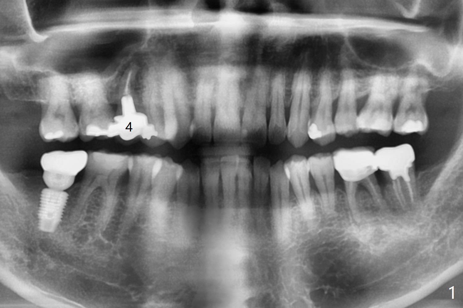
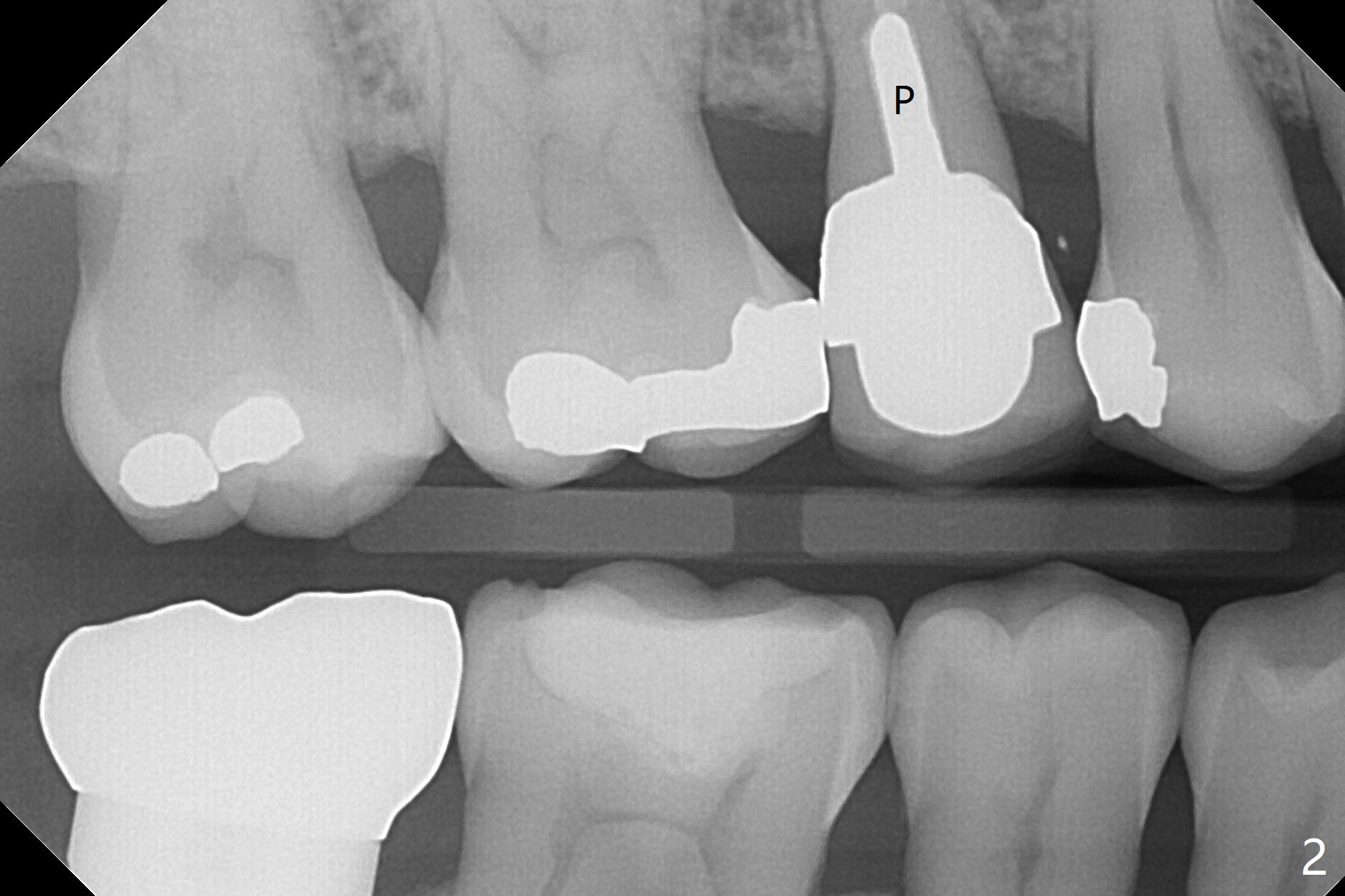
A 48-year-old man has had palatal and buccal abscesses at #4 for 6 and 1 months, respectively (Fig.1). The patient loves bubble gums. There is a post at #4 (Fig.2). CBCT shows apical buccal and palatal defects (Fig.3,4). There are no deep periodontal pockets. The tooth has mobility II. No guide is fabricated so that we have options to do bone graft or immediate implant after extraction, depending on extent of bone defects. Later impression is taken for guide. Use UF implant 4.5x10 mm with sinus lift (PRF membranesx2).
Return to
Upper
Premolar Immediate Implant,
Trajectory II,
Clindamycin,
31
Xin Wei, DDS, PhD, MS 1st edition
08/02/2019, last revision
09/25/2019