![]() |
![]() |
|
![]() |
![]() |
|
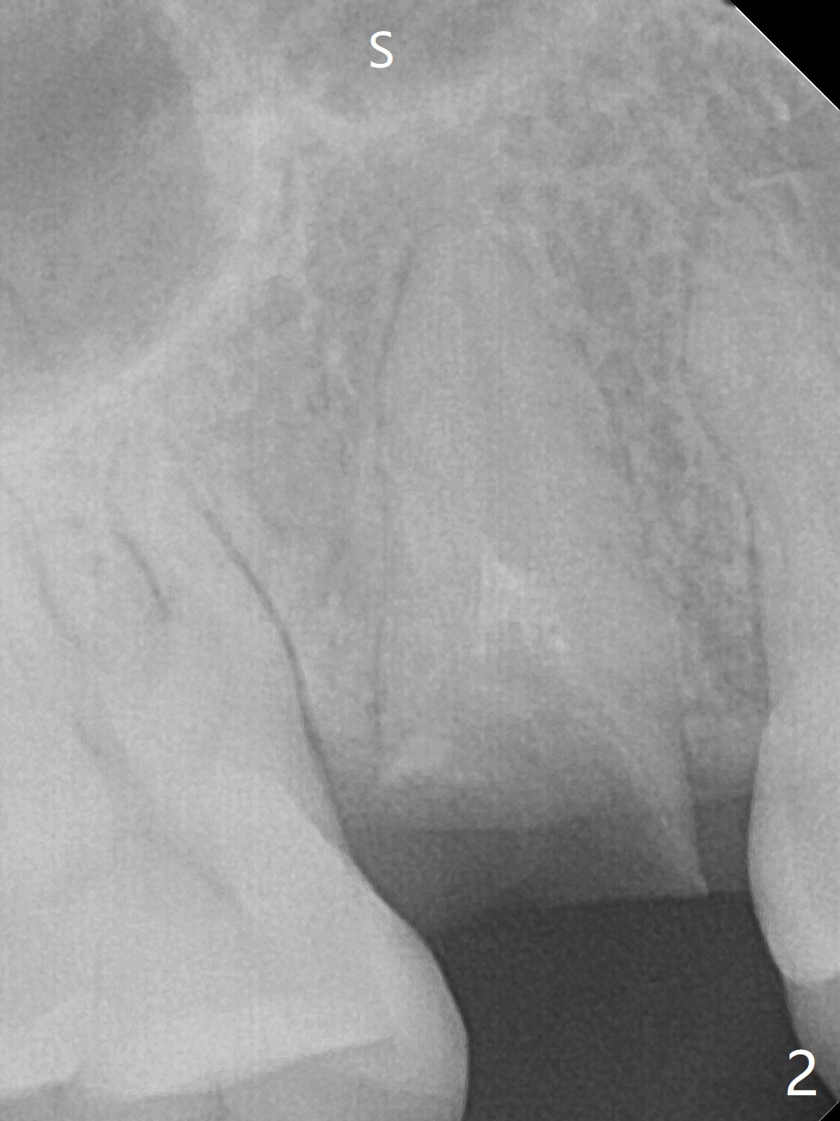
Barely Penetrate Sinus Floor
A 29-year-old woman requests implant for the residual root of the tooth #4 after initial RCT in home country (Fig.1,2 (S: sinus)). It appears that a 15 or 16 mm long implant should be placed to engage into the apical native bone and sinus floor (*) for stability (Fig.3,4). Further stability is obtained by contact with the mesial (M), distal (D) wall or both.
Return to
Protect
Graft
Clindamycin
即种全程
Xin Wei,
DDS, PhD, MS 1st edition 06/14/2021, last revision
07/01/2021