![]() |
![]() |
![]() |
Underprep for Loose Bone
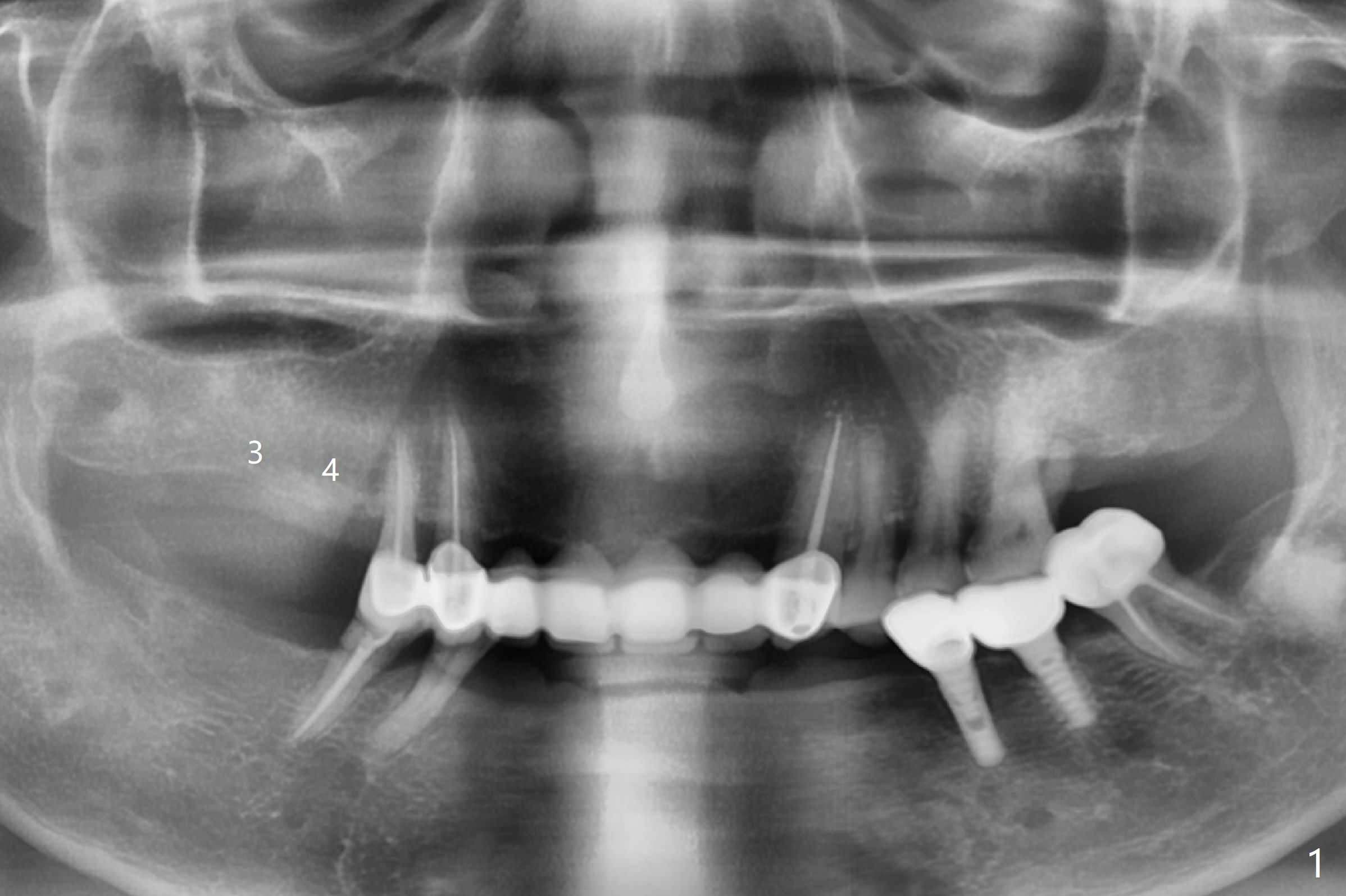
A 66-year-old woman requests implants at #3 and 4 (Fig.1). The main issue is loose bone with ~300 HU (Fig.2,3). Underprep must be a solution.
Return to
Upper
Molar
Premolar Immediate Implant,
Trajectory
Xin Wei, DDS, PhD, MS 1st edition 09/11/2018, last revision 09/17/2018