![]() |
![]() |
![]() |
![]() |
![]() |
![]() |
![]() |
![]() |
![]() |
![]() ![]() |
||
Small
Implant Accomplishes Big
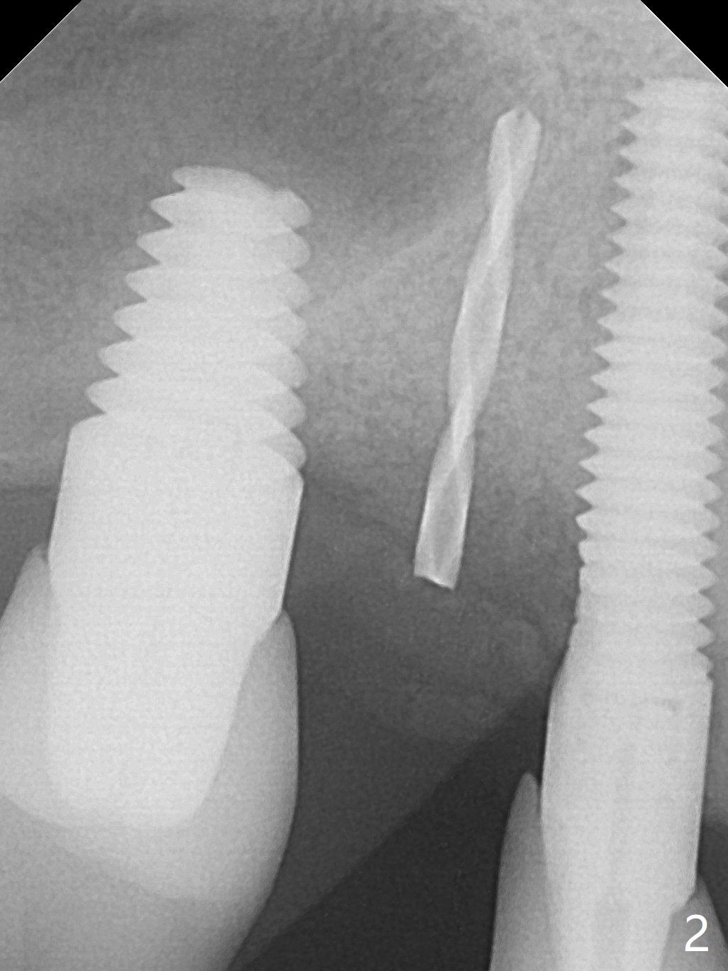
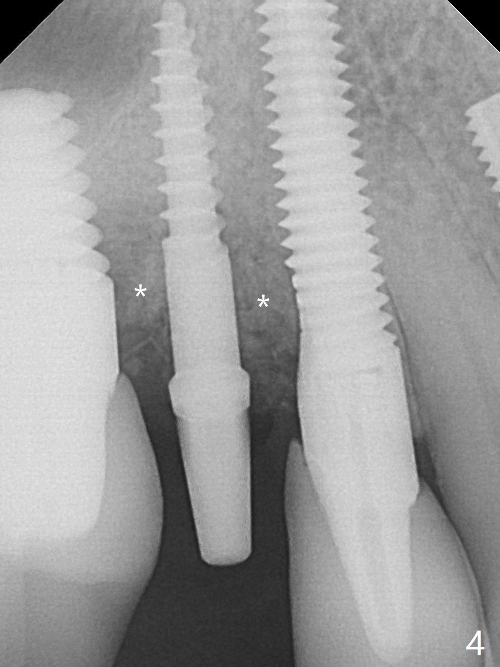
The osteotomy gap at #4 disappears 3.5 months post implant removal with bone graft; the mesiodistal space is 6.6 mm (Fig.1). Incision confirms disappearance of the osteotomy gap. A new osteotomy is established for 10 mm (Fig.2). A 2.5x10(4) mm 1-piece implant is placed with <50 Ncm; since the trimmed implant threads at #5 are exposed (Fig.3), Vanilla graft with Osteogen is placed mesial and distal to the new small implant (Fig.4 *). There is no bone loss 3.5 months postop (Fig.5,6). After cementation of the crown (Fig.7 C) with the thin abutment (*), the patient feels that the crown has mobility. The crown in fact has no clinical mobility; it cannot be removed. After occlusal equilibrium, the patient does not feel the same. The thin 1-piece implant must flex under heavy occlusion. The patient is a bruxer. There is no crestal bone resorption 4 months post cementation (8 months post cementation, Fig.8,9). There is no sign of periimplantitis anymore. The implant remains mobile and symptomatic (chewing pain) 14 months post cementation (Fig.10). There is no bone loss 2 years 4 months post cementation (Fig.11).
Return to Upper Premolar Immediate Implant, Armaments, Similar Case 3 Xin Wei, DDS, PhD, MS 1st edition 08/17/2018, last revision 06/20/2021