![]() |
|
![]() |
![]() |
Valplast Overdenture
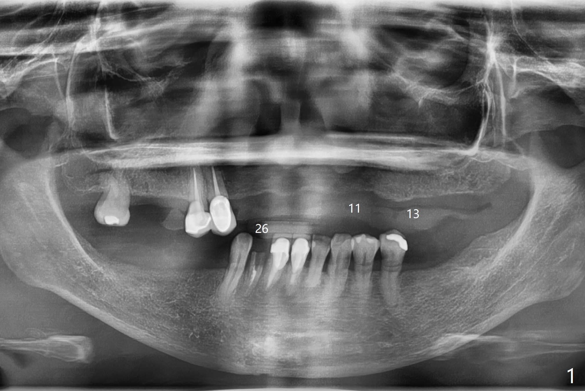
A 63-year-old woman presents to clinic with fractured crown/post at #26 (Fig.1). After recementation of the crown, the upper Valplast RPD is found to be unstable. After discussion, she agrees to have two implants and ball abutments at #11 and 13 for retention. Use pink acrylic to fixate a denture tooth of #3 to the Valplast. Alginate impression (upper and lower jaws with RPDs and upper without RPD) will be taken to make radiographic stent (Barium Sulfate). With the latter, take small field CT (5x5 cm) to decide the size of the implants. After implant and ball abutment placement, soft reline the Valplast until osteointegration. When Barium Sulfate and Jet are mixed with monomer, the mixture is applied to tissue surface of #11-13 of the upper Valplast. CT is taken. The latter shows that the bone at #11 is thin, while the bone at #14 is short. The sites of #12 and 13 are proper for implant placement (Fig.2,3).
Return to
No Deviation
Overdentures
1-Piece
Xin Wei,
DDS, PhD, MS 1st edition 07/17/2020, last revision
12/26/2020