![]() |
![]() |
|
![]() |
![]() |
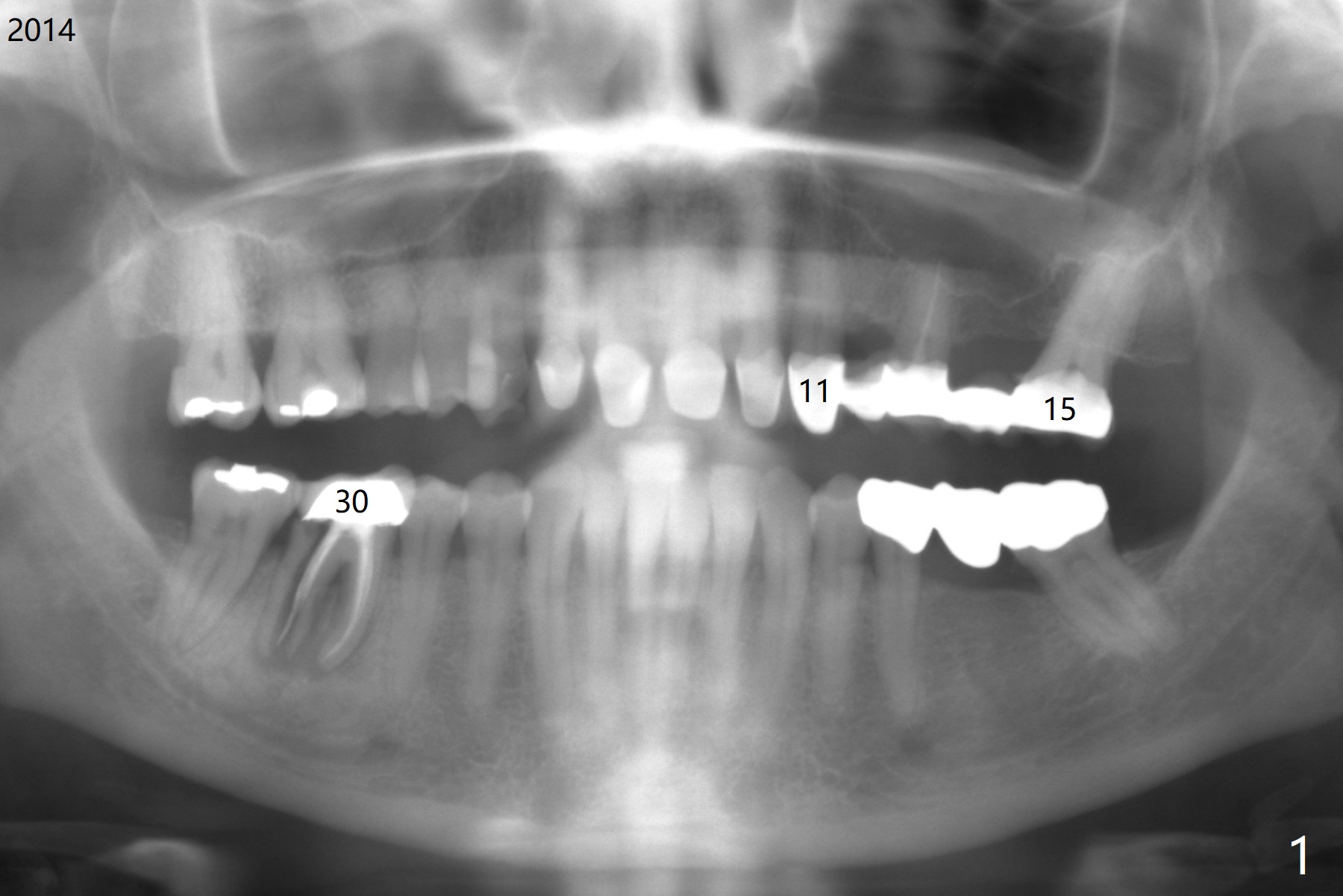
Bruxism
A 55-year-old woman is a bruxer (Fig.1). In 5 years the upper left FPD is fractured between #11 and 12 (Fig.2) and at #15 (Fig.3). Sectioning the FPD shows #15 non-salvageable (Fig.4). Implants will be placed at #12, 14 and 15. Sinus lift seems necessary at #14 (4 mm).
Return to
Upper
Molar Premolar Immediate Implant,
Prevent Molar Periimplantitis (Protocols,
Table)
Trajectory II
Clindamycin Metronidazole
No Antibiotic
Ortho Cases
Plug
Professionals
Shield
Xin Wei, DDS, PhD, MS 1st edition
12/09/2019, last revision
12/09/2019