![]() |
|
![]() |
![]() |
With & Without Sinus Lift M
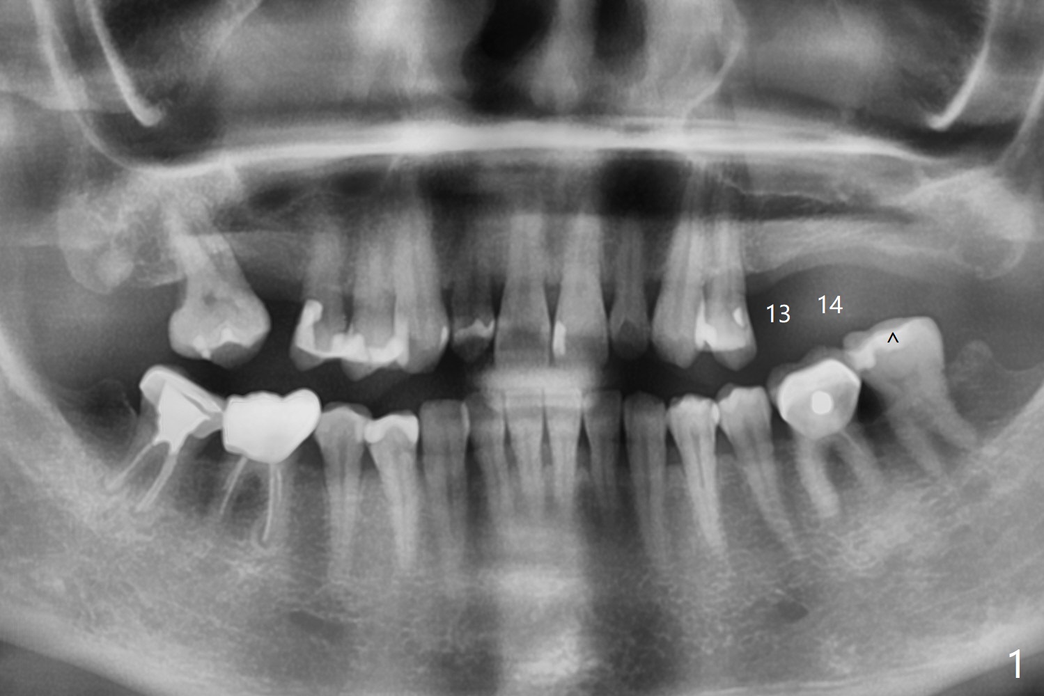
A 55-year-old woman agrees to have implants at #13 and 14 (Fig.1). There is no vertical space for implant at #15 because of supraeruption of #18 (^). A short FC implant will be placed at #13 without sinus lift (Fig.2), while sinus lift is required at #14 (Fig.3) using sinus lift drill or Magic sinus lifter. Prepare PRFx2 and small amount of sticky bone to cover #14 implant. Use acrylic to cover the bone graft. The acrylic will be retained by #13 abutment.
Return to
Upper
Molar Immediate Implant, No Deviation
Xin Wei, DDS, PhD, MS 1st edition
01/21/2020, last revision
01/22/2020